Promotional price valid on web orders only. Your contract pricing may differ. Interested in signing up for a dedicated account number?
Learn More
Learn More
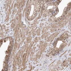
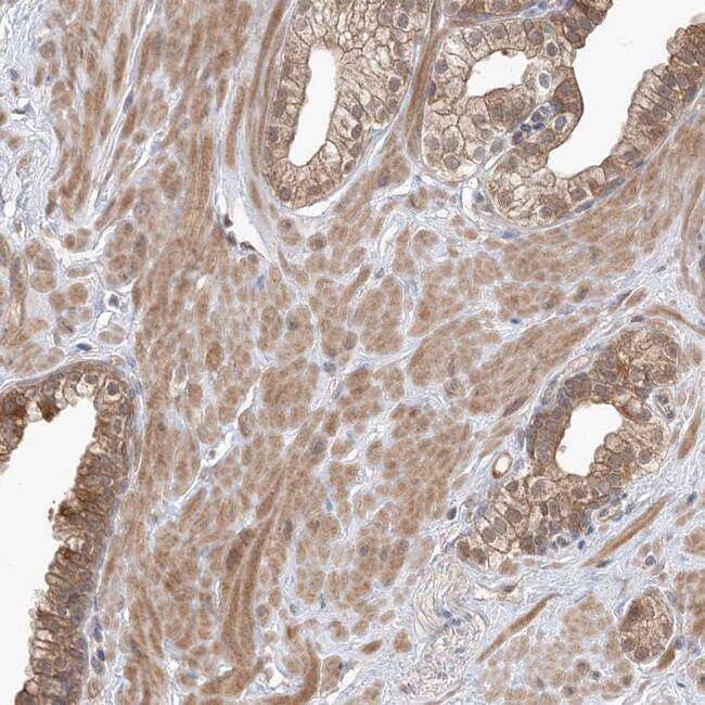
Invitrogen™ WDR26 Polyclonal Antibody

Rabbit Polyclonal Antibody
Supplier: Invitrogen™ PA555892
Description
Immunogen sequence: NDLNELKPLV HSPHAIVRMK FLLLQQKYLE YLEDGKVLEA LQVLRCELTP LKYNTERIHV LSGYLMCSHA EDLRAKAEWE Highest antigen sequence identity to the following orthologs: Mouse - 100%, Rat - 83%.
May be involved in MAPK pathways.
Specifications
WDR26 | |
Polyclonal | |
Unconjugated | |
WDR26 | |
1600024A01Rik; AA693241; AI447817; AU044014; C77982; CDW2; CUL4- and DDB1-associated WDR protein 2; FLJ21016; GID complex subunit 7 homolog; Gid7; MIP2; myocardial ischemic preconditioning upregulated protein 2; Myocardial ischemic preconditioning up-regulated protein 2; PRO0852; RGD1565589; WD repeat domain 26; WD repeat-containing protein 26; Wdr26 | |
Rabbit | |
Antigen affinity chromatography | |
RUO | |
80232 | |
Store at 4°C short term. For long term storage, store at -20°C, avoiding freeze/thaw cycles. | |
Liquid |
Immunohistochemistry (Paraffin), Western Blot, Immunocytochemistry | |
0.1 mg/mL | |
PBS with 40% glycerol and 0.02% sodium azide; pH 7.2 | |
Q9H7D7 | |
WDR26 | |
Recombinant protein corresponding to Human WDR26. Recombinant protein control fragment (Product #RP-94421). | |
100 μL | |
Primary | |
Human | |
Antibody | |
IgG |
Product Content Correction
Your input is important to us. Please complete this form to provide feedback related to the content on this product.
Product Title
Spot an opportunity for improvement?Share a Content Correction