Promotional price valid on web orders only. Your contract pricing may differ. Interested in signing up for a dedicated account number?
Learn More

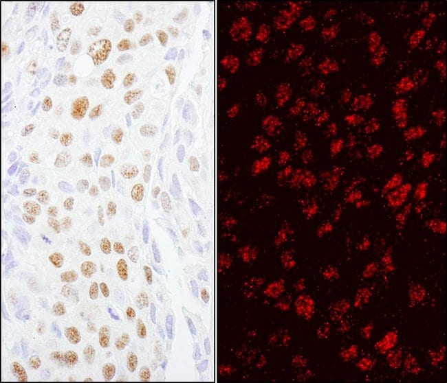
ZCCHC8 Rabbit anti-Human, Polyclonal, Bethyl Laboratories

Rabbit Polyclonal Antibody

Supplier:  Bethyl Laboratories, Inc A301805A

Encompass_Preferred

Catalog No. 50-155-9758


May include imposed supplier surcharges.
Only null left
Add to Cart

Description

Description

The recommended shelf life for this product is 1 year from date of receipt. Application Note: For IHC, epitope retrieval with citrate buffer pH 6.0 is recommended for FFPE tissue sections.

ZCCHC8 may be involved in pre-mRNA splicing.
Specifications

Specifications

ZCCHC8
Polyclonal
Unconjugated
ZCCHC8
DKFZp434E2220, TRAMP-like complex RNA-binding factor ZCCHC8, zinc finger, CCHC domain containing 8
Rabbit
Antigen affinity chromatography
RUO
55596
4° C
Liquid
Immunofluorescence, Immunohistochemistry, Immunoprecipitation
1 mg/ml
phosphate, tris citrate with 0.09% sodium azide; pH 7-8
Q6NZY4
ZCCHC8
Between 1 and 50
100 μL
Primary
Human
Antibody
IgG
Product Suggestions

Product Suggestions

Videos
SDS
Documents

Documents

Product Certifications
Promotions

Promotions

Product Content Correction

The Fisher Scientific Encompass Program offers items which are not part of our distribution portfolio. These products typically do not have pictures or detailed descriptions. However, we are committed to improving your shopping experience. Please use the form below to provide feedback related to the content on this product.

Product Title

By clicking Submit, you acknowledge that you may be contacted by Fisher Scientific in regards to the feedback you have provided in this form. We will not share your information for any other purposes. All contact information provided shall also be maintained in accordance with our Privacy Policy.

Your feedback has been submitted: Thank you for helping us improve our website.