Promotional price valid on web orders only. Your contract pricing may differ. Interested in signing up for a dedicated account number?
Learn More

ZNF261 Rabbit anti-Human, Polyclonal, Bethyl Laboratories

Rabbit Polyclonal Antibody

Supplier:  Bethyl Laboratories, Inc A300264A

Encompass_Preferred

Catalog No. 50-155-7232


May include imposed supplier surcharges.
Only null left
Add to Cart

Description

Description

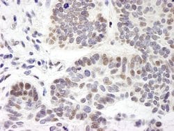
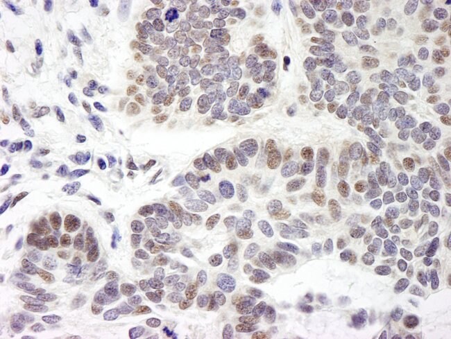
The recommended shelf life for this product is 1 year from date of receipt. Application Note: For IHC, epitope retrieval with citrate buffer pH 6.0 is recommended for FFPE tissue sections. Based on 100% sequence identity, this antibody is predicted to react with Mouse

Zinc-finger proteins contain DNA-binding domains characterized by the unique role of zinc and have a wide variety of functions such as transcriptional activation or repression. The protein folding and the DNA binding ability are governed by the coordination of a zinc ion. As a member of the MYM (myeloproliferative and mental retardation) gene family, ZMYM3 is highly conserved in vertebrates and most abundantly expressed in the brain. The encoded protein is a component of histone deacetylase-containing multiprotein complexes that function through modifying chromatin structure to keep genes silent. A chromosomal translocation (X;13) involving this gene is associated with X-linked mental retardation.
Specifications

Specifications

ZNF261
Polyclonal
Unconjugated
ZMYM3
DXS6673E, MYM, XFIM, ZNF198L2, ZNF261; zinc finger MYM-type protein 3; zinc finger protein 261
Rabbit
Antigen affinity chromatography
RUO
9203
4° C
Liquid
Immunohistochemistry, Western Blot
1 mg/ml
phosphate, tris citrate with 0.09% sodium azide; pH 7-8
Q14202
ZMYM3
Between 250 and 300
100 μL
Primary
Human
Antibody
IgG
Product Suggestions

Product Suggestions

Videos
SDS
Documents

Documents

Product Certifications
Promotions

Promotions

Product Content Correction

The Fisher Scientific Encompass Program offers items which are not part of our distribution portfolio. These products typically do not have pictures or detailed descriptions. However, we are committed to improving your shopping experience. Please use the form below to provide feedback related to the content on this product.

Product Title

By clicking Submit, you acknowledge that you may be contacted by Fisher Scientific in regards to the feedback you have provided in this form. We will not share your information for any other purposes. All contact information provided shall also be maintained in accordance with our Privacy Policy.

Your feedback has been submitted: Thank you for helping us improve our website.