Learn More
Invitrogen™ ZNF382 Polyclonal Antibody

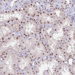
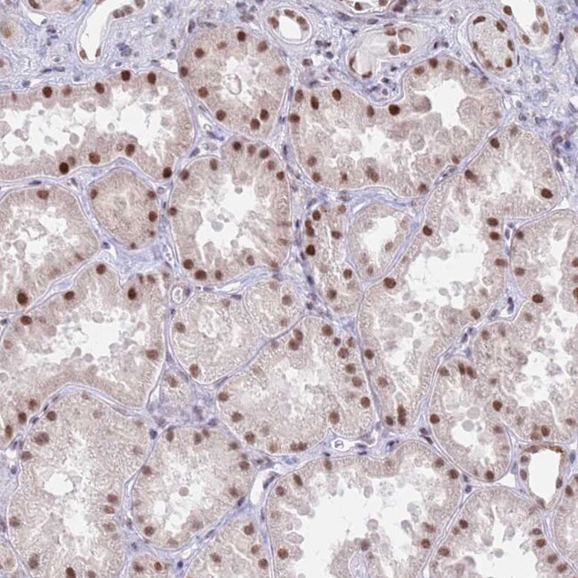
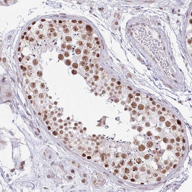
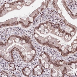
Description
Immunogen sequence: PEQPFDHNEC EKSFLMKGML FTHTRAHRGE RTFEYNKDGI AFIEKSSLSV HPSNLMEKKP SAYNKYGKFL CRKPV Highest antigen sequence identity to the following orthologs: Mouse - 60%, Rat - 64%.
Specifications
Specifications
| Antigen | ZNF382 |
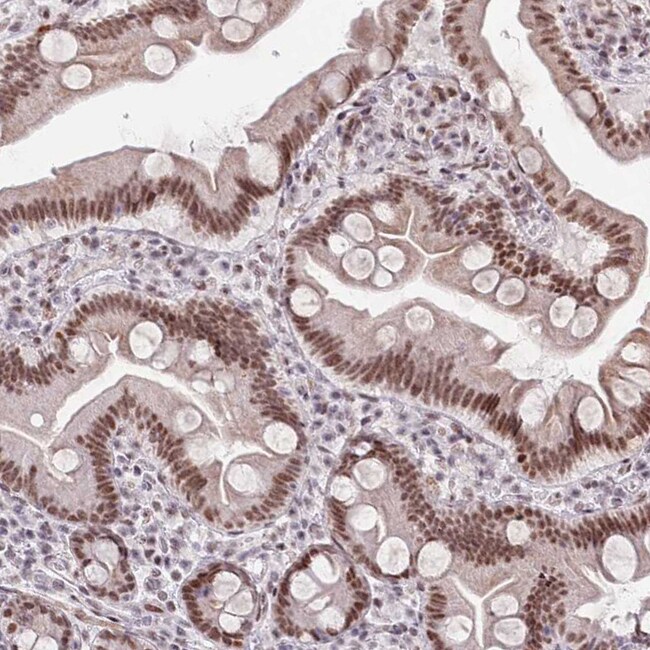
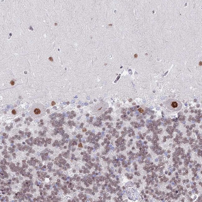
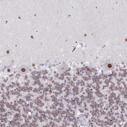
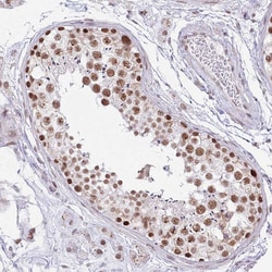
| Applications | Immunohistochemistry (Paraffin), Immunocytochemistry |
| Classification | Polyclonal |
| Concentration | 0.1 mg/mL |
| Conjugate | Unconjugated |
| Formulation | PBS with 40% glycerol and 0.02% sodium azide; pH 7.2 |
| Gene | Znf382 |
| Gene Accession No. | Q96SR6 |
| Gene Alias | 5930415A09Rik; KRAB/zinc finger suppressor protein 1; KRAB/zinc finger suppressor protein 1 (KS1); KS1; LOW QUALITY PROTEIN: zinc finger protein 382; multiple zinc finger and krueppel-associated box protein KS1; Unknown (protein for IMAGE:8054130); Zfp382; Zinc finger protein 382; ZNF382 |
| Gene Symbols | Znf382 |
| Show More |
By clicking Submit, you acknowledge that you may be contacted by Fisher Scientific in regards to the feedback you have provided in this form. We will not share your information for any other purposes. All contact information provided shall also be maintained in accordance with our Privacy Policy.