Promotional price valid on web orders only. Your contract pricing may differ. Interested in signing up for a dedicated account number?
Learn More
Learn More
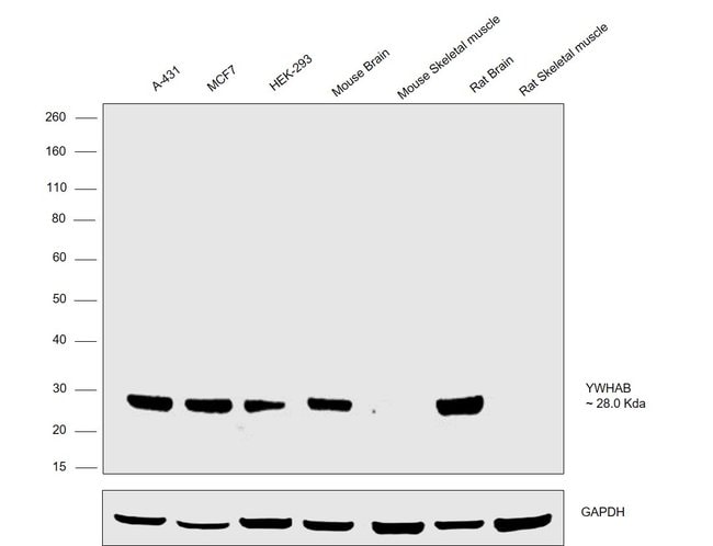
Invitrogen™ 14-3-3 beta Polyclonal Antibody

Rabbit Polyclonal Antibody
Supplier: Invitrogen™ PA517425
Description
It is not recommended to aliquot this antibody.
14-3-3, a family of acidic and soluble proteins, highly conserved in amino acid sequences from yeast to mammals, is expressed in all eukaryotic cells. Seven isoforms(beta, gamma, epsilon, eta, zeta, sigma and tau/theta) encoded by seven distinct genes are identified in mammals and forms homo- and hetero- dimeric cup-shaped structures. As 14-3-3 is interacted with more than 100 binding partners, it regulates key proteins involved in various biological processes such as signal trans-duction, cell cycle, transcriptional control, cell proliferation, apoptosis, and ion channel physiology. Most 14-3-3 requires phosphorylation of serine or threonine residues in the target sequence. This protein is abundantly expressed in the brain and has been detected in the cerebrospinal fluid of patients with different neurological disorders.
Specifications
14-3-3 beta | |
Polyclonal | |
0.01M HEPES with 100μg/mL BSA, 50% glycerol, 0.15M NaCl and no preservative; pH 7.5 | |
P31946, P35213, Q9CQV8 | |
YWHAB | |
Synthetic peptide corresponding to the sequence of human 14-3-3 β/a. | |
100 μL | |
Primary | |
Human, Mouse, Rat, Monkey | |
Antibody | |
IgG |
Western Blot | |
Unconjugated | |
YWHAB | |
1300003C17Rik; 14-3-3 alpha; 14-3-3 protein beta; 14-3-3 protein beta/alpha; 14-3-3 protein beta/alpha, N-terminally processed; 14-3-3 protein beta-subtype; 3-monooxygenase/tryptophan 5 monooxygenase activation protein beta polypeptide; brain protein 14-3-3, beta isoform; epididymis secretory protein Li 1; GW128; HEL-S-1; HS1; hypothetical protein GW128; KCIP 1; KCIP1; KCIP-1; Prepronerve growth factor RNH-1; protein 1054; Protein kinase C inhibitor protein 1; protein kinase C inhibitor protein-1; QccE-16215; RP1-148E22.1; tryosine 3-monooxygenase/tryptophan 5-monooxygenase activation protein beta polypeptide; tryosine 3-monooxygenase/tryptophan 5-monooxygenase activation protein gamma; tyrosine 3/tryptophan 5 -monooxygenase activation protein beta polypeptide; tyrosine 3/tryptophan 5 -monooxygenase activation protein, beta polypeptide; tyrosine 3-monooxgenase/tryptophan 5 monooxgenase activation protein beta polypeptide; tyrosine 3-monooxgenase/tryptophan 5 monooxgenase activation protein, beta polypeptide; tyrosine 3-monooxgenase/tryptophan 5-monooxgenase activation protein, beta polypeptide; tyrosine 3-monooxygenase/tryptophan 5-monooxygenase activation protein beta; tyrosine 3-monooxygenase/tryptophan 5-monooxygenase activation protein, alpha polypeptide; tyrosine 3-monooxygenase/tryptophan 5-monooxygenase activation protein, beta; tyrosine 3-monooxygenase/tryptophan 5-monooxygenase activation protein, beta polypeptide; unnamed protein product; YWHAA; Ywhab | |
Rabbit | |
Antigen affinity chromatography | |
RUO | |
54401, 56011, 7529 | |
-20°C | |
Liquid |
Safety and Handling
WARNING: Cancer - www.P65Warnings.ca.gov
Product Content Correction
Your input is important to us. Please complete this form to provide feedback related to the content on this product.
Product Title
Spot an opportunity for improvement?Share a Content Correction