Promotional price valid on web orders only. Your contract pricing may differ. Interested in signing up for a dedicated account number?
Learn More
Learn More
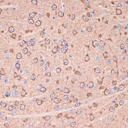
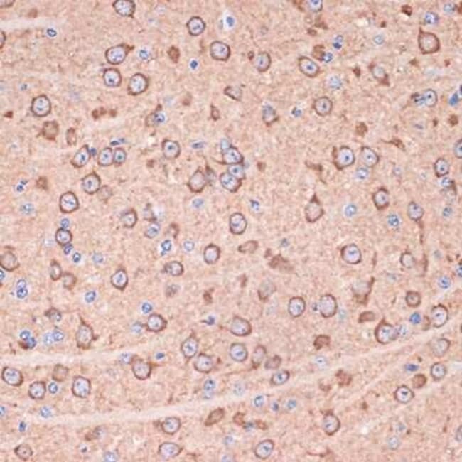
14-3-3 gamma Rabbit anti-Human, Mouse, Rat, Clone: 5R4Q4, Novus Biologicals™

Rabbit Monoclonal Antibody
$205.50 - $492.50
Specifications
| Antigen | 14-3-3 gamma |
|---|---|
| Clone | 5R4Q4 |
| Dilution | Western Blot, Immunohistochemistry 1:50 - 1:200, Immunohistochemistry-Paraffin |
| Applications | Western Blot, Immunohistochemistry, Immunohistochemistry (Paraffin) |
| Classification | Monoclonal |
Description
14-3-3 gamma Monoclonal antibody specifically detects 14-3-3 gamma in Human, Mouse, Rat samples. It is validated for Western Blot, Immunohistochemistry, Immunohistochemistry (Paraffin)Specifications
| 14-3-3 gamma | |
| Western Blot, Immunohistochemistry 1:50 - 1:200, Immunohistochemistry-Paraffin | |
| Monoclonal | |
| Purified | |
| RUO | |
| Human, Mouse, Rat | |
| 14-3-3 gamma, 14-3-3 protein gamma, 14-3-3GAMMA, KCIP-1, Protein kinase C inhibitor protein 1, tyrosine 3-monooxygenase/tryptophan 5-monooxygenase activation protein, gammapolypeptide | |
| A synthetic peptide corresponding to a sequence within amino acids 100-200 of human 14-3-3 gamma (P61981). | |
| Primary | |
| Store at -20°C. Avoid freeze-thaw cycles. |
| 5R4Q4 | |
| Western Blot, Immunohistochemistry, Immunohistochemistry (Paraffin) | |
| Unconjugated | |
| Rabbit | |
| Cancer, Cell Cycle and Replication, Cellular Markers, Growth and Development, Neuronal Cell Markers, Neuroscience, Signal Transduction, Stem Cell Markers | |
| PBS, 0.05% BSA, 50% glycerol, pH7.3 | |
| 7532 | |
| IgG | |
| Affinity purified |
Spot an opportunity for improvement?Share a Content Correction
Product Content Correction
Your input is important to us. Please complete this form to provide feedback related to the content on this product.
Product Title