Promotional price valid on web orders only. Your contract pricing may differ. Interested in signing up for a dedicated account number?
Learn More

Invitrogen™ Thrombospondin 1 Polyclonal Antibody

Rabbit Polyclonal Antibody

Supplier:  Invitrogen™ PA5149882

Encompass_Preferred

Catalog No. PA5149882


Only null left
Add to Cart

Description

Description

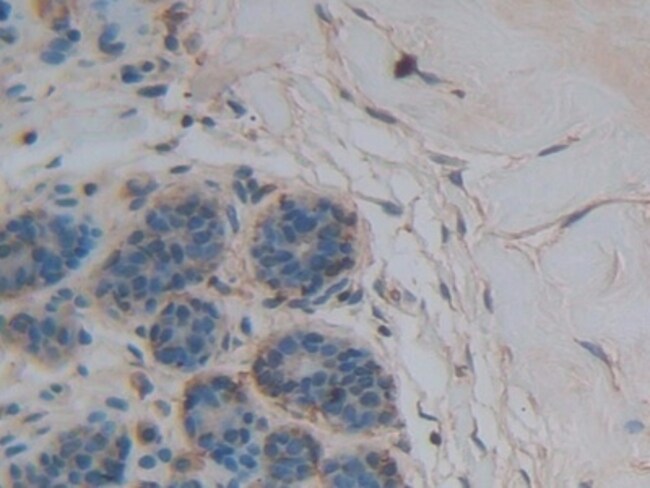
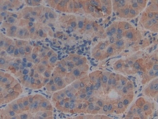
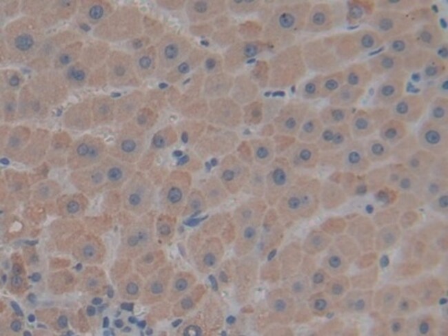
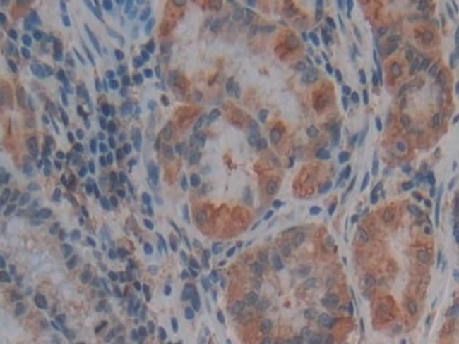
Thrombospondin 1 Polyclonal Antibody for Western Blot, ICC/IF, IHC (P)

Thrombospondin is a protein from platelet a-granules. It is made up of three identical subunits bound by interchain disulfides. It is secreted at sites of platelet activation and aggregation and is involved in the processes of chemotaxis, adhesion, proliferation and differentiation of leukocytes, fibroblasts, smooth muscle and endothelial cells.
TRUSTED_SUSTAINABILITY
Specifications

Specifications

Thrombospondin 1
Polyclonal
Unconjugated
THBS1
glycoprotein G; tbsp1; THBS; Thbs1; Thbs-1; thrombospondin; thrombospondin 1; thrombospondin-1; thrombospondin-1p180; thrombospondin-p50; ThrombospondinTHBS1; TSP; TSP1; TSP-1
Rabbit
Protein A
RUO
21825, 445442, 7057
Store at 4°C short term. For long term storage, store at -20°C, avoiding freeze/thaw cycles.
Liquid
Immunohistochemistry (Paraffin), Western Blot, Immunocytochemistry
0.5 mg/mL
PBS with 50% glycerol and 0.05% ProClin 300; pH 7.4
P07996, P35441
THBS1
Recombinant Thrombospondin 1 (THBS1) (Ser24-Thr221).
200 μL
Primary
Human, Mouse, Rat
Antibody
Product Suggestions

Product Suggestions

Videos
SDS
Documents

Documents

Product Certifications
Promotions

Promotions

Product Content Correction

The Fisher Scientific Encompass Program offers items which are not part of our distribution portfolio. These products typically do not have pictures or detailed descriptions. However, we are committed to improving your shopping experience. Please use the form below to provide feedback related to the content on this product.

Product Title

By clicking Submit, you acknowledge that you may be contacted by Fisher Scientific in regards to the feedback you have provided in this form. We will not share your information for any other purposes. All contact information provided shall also be maintained in accordance with our Privacy Policy.

Your feedback has been submitted: Thank you for helping us improve our website.