Promotional price valid on web orders only. Your contract pricing may differ. Interested in signing up for a dedicated account number?
Learn More
Learn More
Invitrogen™ 4EBP1 Polyclonal Antibody

Rabbit Polyclonal Antibody
Supplier: Invitrogen™ PA5109208
Description
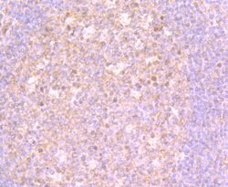
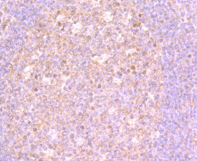
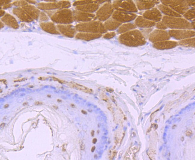
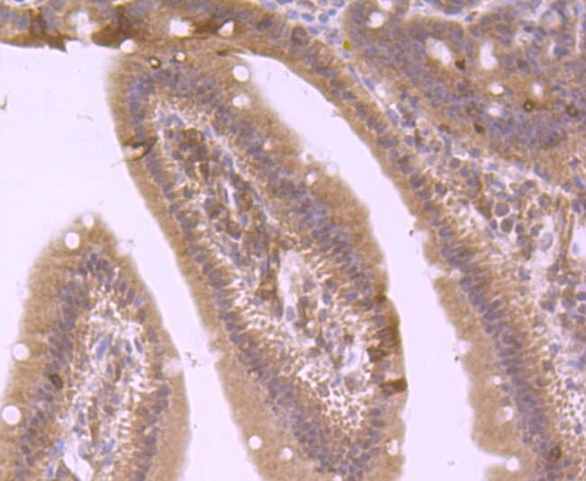
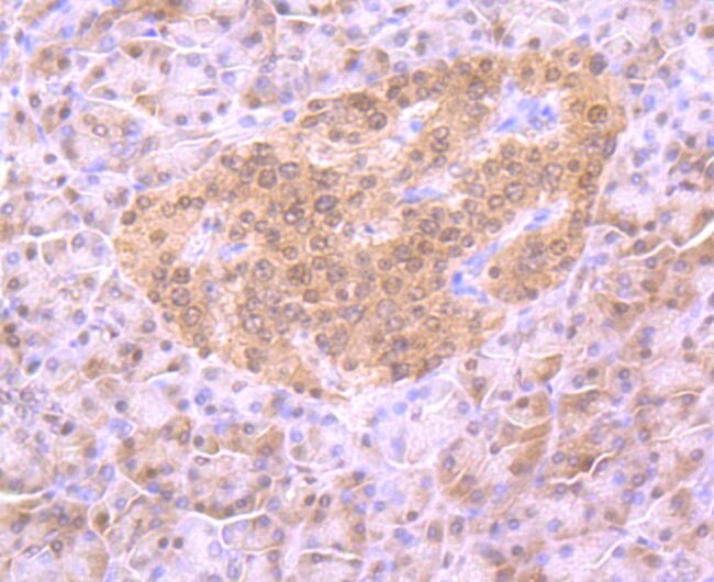
Positive Control: Mouse placenta tissue, PC-3M, 293T, rat esophagus tissue, human tonsil tissue, human pancreas tissue, mouse small intestine tissue.
This gene encodes one member of a family of translation repressor proteins. The protein directly interacts with eukaryotic translation initiation factor 4E, which is a limiting component of the multisubunit complex that recruits 40S ribosomal subunits to the 5' end of mRNAs. Interaction of this protein with eIF4E inhibits complex assembly and represses translation. This protein is phosphorylated in response to various signals including UV irradiation and insulin signaling, resulting in its dissociation from eIF4E and activation of mRNA translation.
Specifications
| 4EBP1 | |
| Polyclonal | |
| Unconjugated | |
| EIF4EBP1 | |
| 4EBP1; 4E-BP1; AA959816; BP-1; eIF4E-binding protein 1; EIF4EBP1; eukaryotic translation initiation factor 4E binding protein 1; eukaryotic translation initiation factor 4E-binding protein 1; MGC431; MGC4316; P/OKCL.6; PHAS-1; PHAS-I; Phosphorylated heat- and acid-stable protein regulated by insulin 1 | |
| Rabbit | |
| Affinity Chromatography | |
| RUO | |
| 1978 | |
| -20°C, Avoid Freeze/Thaw Cycles, store in dark | |
| Liquid |
| Flow Cytometry, Immunohistochemistry (Paraffin), Western Blot, Immunocytochemistry | |
| 1 mg/mL | |
| PBS with 0.2% BSA, 50% glycerol and 0.05% sodium azide; pH 7.4 | |
| Q13541 | |
| EIF4EBP1 | |
| Recombinant protein within Human 4E-BP1 aa 1-118. | |
| 100 μL | |
| Primary | |
| Human | |
| Antibody | |
| IgG |
Safety and Handling
WARNING: Cancer - www.P65Warnings.ca.gov
Product Content Correction
Your input is important to us. Please complete this form to provide feedback related to the content on this product.
Product Title
Spot an opportunity for improvement?Share a Content Correction