Promotional price valid on web orders only. Your contract pricing may differ. Interested in signing up for a dedicated account number?
Learn More
Learn More
Invitrogen™ 5-Hydroxymethylcytosine (5-hmC) Polyclonal Antibody

Rabbit Polyclonal Antibody
Supplier: Invitrogen™ PA5119513
This item is not returnable.
View return policy
Description
Store as concentrated solution. Centrifuge briefly prior to opening vial. For short-term storage (1-2 weeks), store at 4°C. For long-term storage, aliquot and store at -20°C or below. Avoid multiple freeze-thaw cycles.
5-hydroxymethylcytosine (5-hmC) has been recently discovered in mammalian DNA. 5-hmC results from the enzymatic conversion of 5-methylcytosine into 5-hydroxymethylcytosine by the TET family of oxygenases. Initially, the 5-hmC base had been identified in Purkinje neurons, in granule cells and embryonic stem cells where it is present at high levels (up to 0,6% of total nucleotides in Purkinje cells). A recent report indicates that 5-hmC is also abundant in brain tissue, especially in areas that are associated with higher cognitive functions.Early evidence suggests that 5-hmC may represent an intermediate in a new pathway which demethylates DNA, converting 5-mC to cytosine. Although its precise role has still to be shown, recent results indicate, however, that 5-hmC may play important roles distinct from 5-mC. This may open up entirely new perspectives in epigenetic studies.
Specifications
| 5-Hydroxymethylcytosine (5-hmC) | |
| Polyclonal | |
| Unconjugated | |
| 5hmc; 5-hmc; 5-HydroxymethylCytidine; C5H7N3O2 | |
| 5-HydroxymethylCytosine/5-hmC. | |
| 100 μL | |
| Primary | |
| Store at 4°C short term. For long term storage, store at -20°C, avoiding freeze/thaw cycles. | |
| Liquid | |
| Chemical |
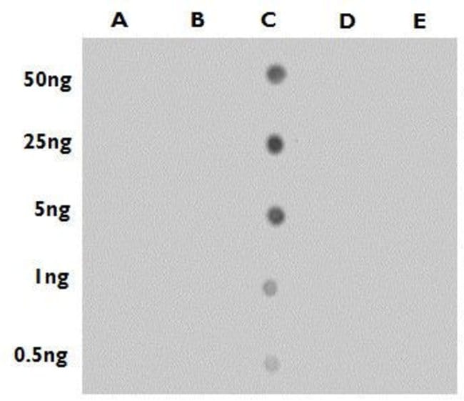
| Dot Blot, Methylated DNA Immunoprecipitation | |
| 7.65 mg/mL | |
| PBS with 20% glycerol and 0.025% ProClin 300; pH 7 | |
| Rabbit | |
| Antigen affinity chromatography | |
| RUO | |
| Chemical | |
| Antibody | |
| IgG |
Safety and Handling
WARNING: Cancer - www.P65Warnings.ca.gov
Product Content Correction
Your input is important to us. Please complete this form to provide feedback related to the content on this product.
Product Title
Spot an opportunity for improvement?Share a Content Correction