Learn More
Description
Specifications
Specifications
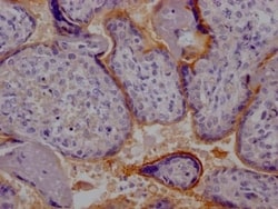
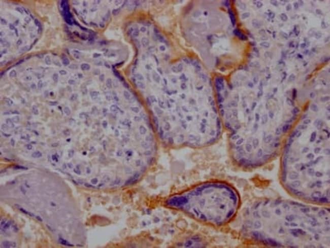
| Antigen | 5T4 |
| Applications | ELISA, Immunohistochemistry |
| Classification | Monoclonal |
| Clone | 1D4 |
| Conjugate | Unconjugated |
| Dilution | ELISA, Immunohistochemistry 1:50-1:200 |
| Formulation | PBS, pH 7.4, 150mM NaCl and 50% glycerol |
| Gene Alias | 5T4 oncofetal trophoblast glycoprotein, 5T4 oncotrophoblast glycoprotein, 5T4AG, 5T4-AG, 5T4M6P1,5T4 oncofetal antigen, trophoblast glycoprotein |
| Host Species | Rabbit |
| Immunogen | A synthesized peptide derived from Human 5T4 [UniProt Q13641] |
| Show More |
By clicking Submit, you acknowledge that you may be contacted by Fisher Scientific in regards to the feedback you have provided in this form. We will not share your information for any other purposes. All contact information provided shall also be maintained in accordance with our Privacy Policy.
