Promotional price valid on web orders only. Your contract pricing may differ. Interested in signing up for a dedicated account number?
Learn More
Learn More
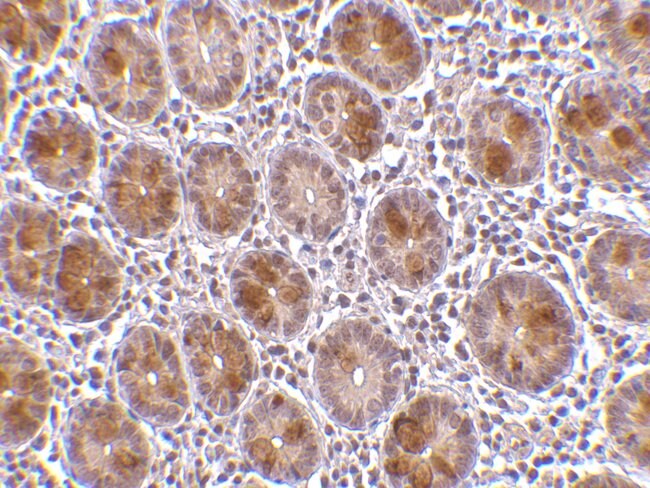
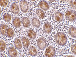
AATF Polyclonal Antibody

AATF Polyclonal Antibody
Supplier: Thermo Scientific PA520006
Description
AATF Polyclonal Antibody for Western Blot, IHC
Specifications
| AATF | |
| Polyclonal | |
| Unconjugated | |
| Aatf | |
| 4933415H02Rik; 5830465M17Rik; Aatf; apoptosis antagonizing transcription factor; apoptosis-antagonizing transcription factor; BFR2; CHE1; CHE-1; DED; HSPC277; Protein AATF; rb-binding protein Che-1; Traube protein; Trb | |
| Rabbit | |
| Antigen affinity chromatography | |
| RUO | |
| 26574, 56321 | |
| Maintain refrigerated at 2°C to 8°C for up to 3 months. For long term storage store at -20°C | |
| Liquid |
| Immunohistochemistry, Western Blot, Immunocytochemistry | |
| 1 mg/mL | |
| PBS with 0.02% sodium azide | |
| Q9JKX4, Q9NY61 | |
| Aatf | |
| a 12 amino acid peptide from near the carboxy terminus of human AATF. | |
| 100 μg | |
| Primary | |
| Human, Mouse | |
| Antibody | |
| IgG |
Product Content Correction
Your input is important to us. Please complete this form to provide feedback related to the content on this product.
Product Title
Spot an opportunity for improvement?Share a Content Correction