Promotional price valid on web orders only. Your contract pricing may differ. Interested in signing up for a dedicated account number?
Learn More
Learn More
ABAT Rabbit anti-Human, Mouse, Rat, Clone: 10V1K9, Novus Biologicals™

Rabbit Monoclonal Antibody
Supplier: Novus Biologicals NBP31676720UL
Description
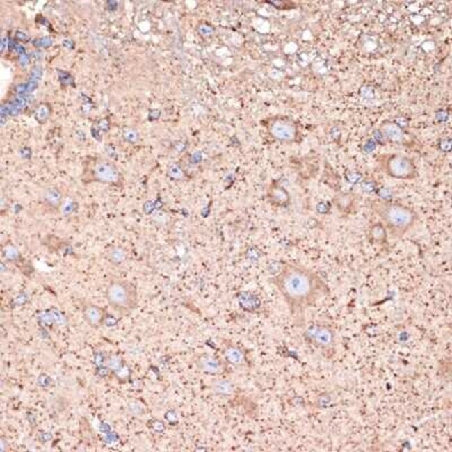
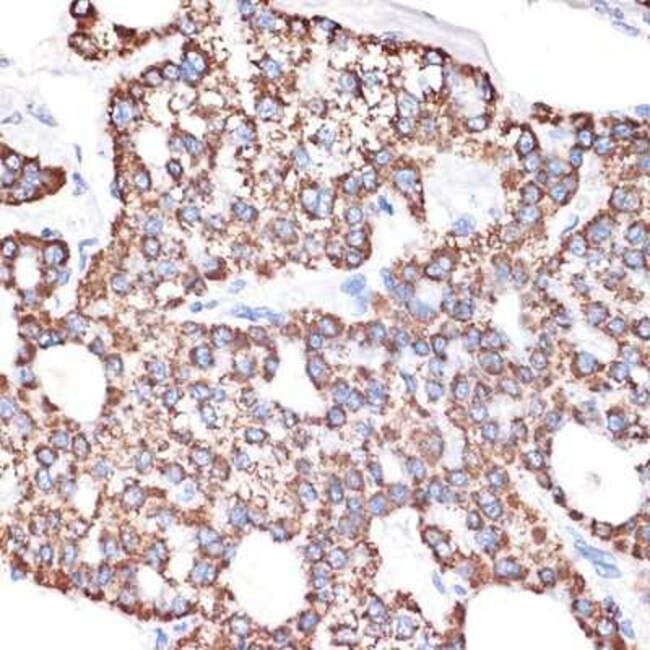
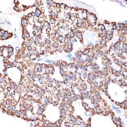
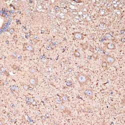
ABAT Monoclonal antibody specifically detects ABAT in Human, Mouse, Rat samples. It is validated for Western Blot, Immunohistochemistry, Immunohistochemistry (Paraffin)Specifications
ABAT | |
Monoclonal | |
Unconjugated | |
PBS, 0.05% BSA, 50% glycerol, pH7.3 | |
Rabbit | |
Affinity purified | |
RUO | |
Primary | |
Human, Mouse, Rat | |
Purified |
Western Blot, Immunohistochemistry, Immunohistochemistry (Paraffin) | |
10V1K9 | |
Western Blot, Immunohistochemistry 1:50 - 1:200, Immunohistochemistry-Paraffin | |
(S)-3-amino-2-methylpropionate transaminase, 4-aminobutyrate aminotransferase, 4-aminobutyrate aminotransferase, mitochondrial, 4-aminobutyrate transaminase, EC 2.6.1.19, EC 2.6.1.22, FLJ17813, FLJ30272, G, GABA aminotransferase, GABA transaminase, GABA transferase, GABA-AT, GABA-T, GABATNPD009, Gamma-amino-N-butyrate transaminase, hCG1984265, L-AIBAT | |
A synthetic peptide corresponding to a sequence within amino acids 1-100 of human ABAT (P80404). | |
20 μg | |
Amino Acids Drugs and other small molecules, Cancer, Endocrinology, Neurodegeneration, Neuroscience, Signal Transduction | |
18 | |
Store at -20°C. Avoid freeze-thaw cycles. | |
IgG |
Product Content Correction
Your input is important to us. Please complete this form to provide feedback related to the content on this product.
Product Title
Spot an opportunity for improvement?Share a Content Correction