Promotional price valid on web orders only. Your contract pricing may differ. Interested in signing up for a dedicated account number?
Learn More
Learn More
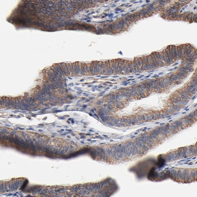
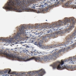
Invitrogen™ ABCD4 Polyclonal Antibody

Rabbit Polyclonal Antibody
Supplier: Invitrogen™ PA5110670
Description
Immunogen sequence: TLVSKNAFVC IYLISCFTQL IDLSTTLSDV AGYTHRIGQL RETLLDMSLK SQDCEILGES EWGLDTPPGW PAAEPADTAF LLERVSISAP SSDKPLIKDL SLKISEGQSL LITGNTGTGK.
The peroxisomal membrane contains several ATP-binding cassette (ABC) transporters, ABCD1-4 that are known to be present in the human peroxisome membrane. All four proteins are ABC half-transporters, which dimerize to form an active transporter. A mutation in the ABCD1 gene causes X-linked adreno-leukodystrophy (X-ALD), a peroxisomal disorder which affects lipid storage. ABCD2 in mouse is expressed at high levels in the brain and adrenal organs, which are adversely affected in X-ALD. The peroxisomal membrane comprises two quantitatively major proteins, PMP22 and ABCD3. ABCD3 is associated with irregularly shaped vesicles which may be defective peroxisomes or peroxisome precursors. ABCD1 localizes to peroxisomes. ABCB7 is a half-transporter involved in the transport of heme from the mitochondria to the cytosol.
Specifications
| ABCD4 | |
| Polyclonal | |
| PBS with 40% glycerol and 0.02% sodium azide; pH 7.2 | |
| O14678 | |
| ABCD4 | |
| Recombinant Protein corresonding to Human ABCD4. Recombinant protein control fragment (Product #RP-89117). | |
| 100 μL | |
| Primary | |
| Human | |
| Antibody | |
| IgG |
| Immunohistochemistry (Paraffin) | |
| Unconjugated | |
| ABCD4 | |
| 69 kDa peroxisomal ABC-transporter; ABC41; ABCD4; ATP binding cassette subfamily D member 4; ATP-binding cassette sub-family D member 4; ATP-binding cassette, subfamily D (ALD), member 4; ATP-binding cassette, sub-family D (ALD), member 4; ATP-binding cassette, sub-family D, member 4; EST352188; MAHCJ; P69r; P70R; P79R; Peroxisomal membrane protein 1-like; Peroxisomal membrane protein 69; peroxisomal membrane protein, 70 kDa-related; PMP69; PMP70-related protein; Pxmp1l; PXMP1-L | |
| Rabbit | |
| Antigen affinity chromatography | |
| RUO | |
| 5826 | |
| Store at 4°C short term. For long term storage, store at -20°C, avoiding freeze/thaw cycles. | |
| Liquid |
Safety and Handling
WARNING: Cancer - www.P65Warnings.ca.gov
Product Content Correction
Your input is important to us. Please complete this form to provide feedback related to the content on this product.
Product Title
Spot an opportunity for improvement?Share a Content Correction