Promotional price valid on web orders only. Your contract pricing may differ. Interested in signing up for a dedicated account number?
Learn More
Learn More
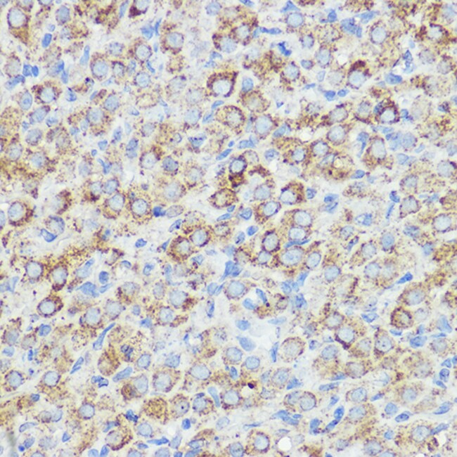
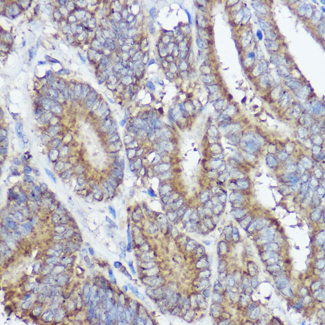
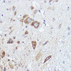
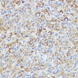
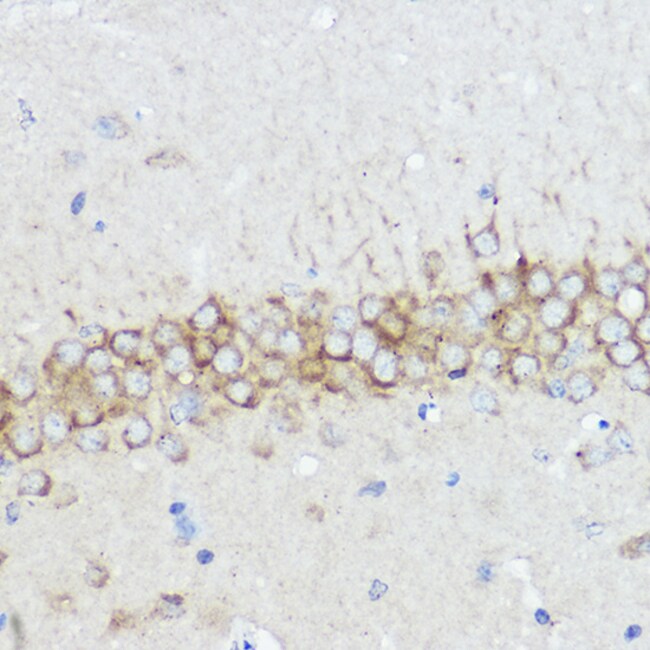
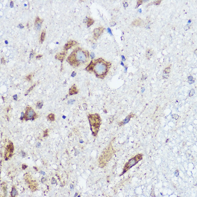
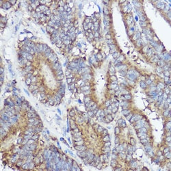
Invitrogen™ ABI1 Polyclonal Antibody

Rabbit Polyclonal Antibody
Supplier: Invitrogen™ PA5109353
Description
Immunogen sequence: PMSGRGTLGR NTPYKTLEPV KPPTVPNDYM TSPARLGSQH SPGRTASLNQ R.
This gene encodes a member of the DEAD box protein family. DEAD box proteins, characterized by the conserved motif Asp-Glu-Ala-Asp (DEAD), are putative RNA helicases. They are implicated in a number of cellular processes involving alteration of RNA secondary structure such as translation initiation, nuclear and mitochondrial splicing, and ribosome and spliceosome assembly. Based on their distribution patterns, some members of this family are believed to be involved in embryogenesis, spermatogenesis, and cellular growth and division. The nucleolar protein encoded by this gene interacts in a hormone-dependent manner with nuclear receptors, and represses their transcriptional activity. Alternative splice variants that encode different isoforms have been found for this gene.
Specifications
| ABI1 | |
| Polyclonal | |
| Unconjugated | |
| ABI1 | |
| abelson interactor 1; Abi1; Abi-1; Abl interactor 1; abl-binding protein 4; AblBP4; abl-interactor 1; Abl-interactor protein 1 long; Ablphilin-1; E3b1; EL2; eps8 binding protein; eps8 binding protein (e3B1), alternatively spliced; eps8 SH3 domain-binding protein; Eps8-binding protein; HPP; HS3; interactor protein AblBP4; LOW QUALITY PROTEIN: abl interactor 1; NAP1; nap1 binding protein; Nap1-binding protein; Nap1BP; spectrin SH3 domain binding protein 1; spectrin SH3 domain-binding protein 1; SPH3; SPTA; SSH3BP; Ssh3bp1 | |
| Rabbit | |
| Affinity chromatography | |
| RUO | |
| 10006, 11308, 79249 | |
| -20°C, Avoid Freeze/Thaw Cycles | |
| Liquid |
| ELISA, Immunohistochemistry (Paraffin), Western Blot | |
| 0.6 mg/mL | |
| PBS with 50% glycerol and 0.01% thimerosal; pH 7.3 | |
| Q8CBW3, Q8IZP0, Q9QZM5 | |
| ABI1 | |
| Recombinant fusion protein containing a sequence corresponding to amino acids 180-230 of human ABI1 (NP_001012770). | |
| 100 μL | |
| Primary | |
| Human, Mouse, Rat | |
| Antibody | |
| IgG |
Safety and Handling
WARNING: Cancer - www.P65Warnings.ca.gov
Product Content Correction
Your input is important to us. Please complete this form to provide feedback related to the content on this product.
Product Title
Spot an opportunity for improvement?Share a Content Correction