Promotional price valid on web orders only. Your contract pricing may differ. Interested in signing up for a dedicated account number?
Learn More
Learn More
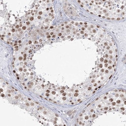
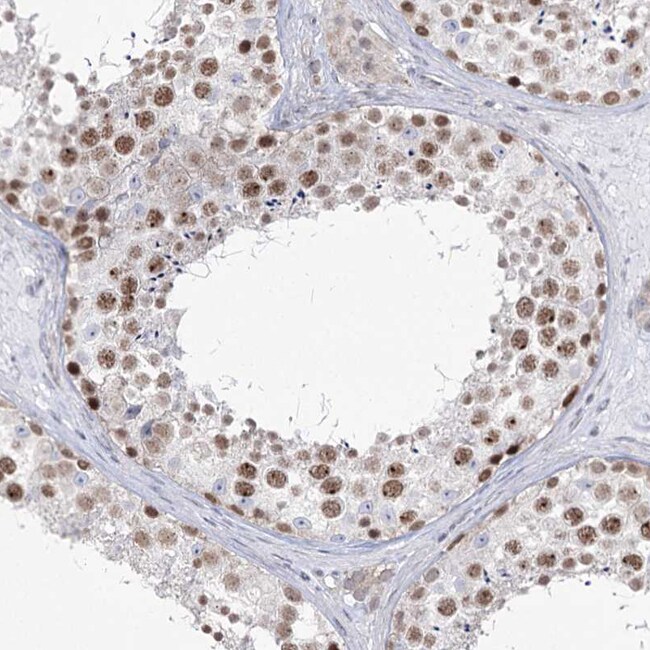
Invitrogen™ ABRA1 Polyclonal Antibody

Rabbit Polyclonal Antibody
Supplier: Invitrogen™ PA558042
Description
Immunogen sequence: CNYNHHLDVV DNLTLMVEHT DIPEASPAST PQIIKHKTLD LDDRWQFKRS RLLDTQDKRS KADTGSSNQD KASKMSSPET DEEIEKMKGF GEYSRSPT Highest antigen sequence identity to the following orthologs: Mouse - 51%, Rat - 50%.
CCDC98, also known as Abraxas 1, was identified through protein binding studies using the breast and ovarian predisposition protein BRCA1 as the binding target. CCDC98 recruits RAP80, a ubiquitin-binding protein, to BRCA1, allowing the formation of BRCA1 foci in response to DNA damage caused by ionizing radiation. Both CCDC98 and RAP80 are required for DNA damage resistance, G2-M checkpoint control, and DNA repair. Cells depleted of either CCDC98 or RAP80 exhibited increased sensitivity to ionizing radiation, although not as much as in BRCA1-depleted cells, suggesting that CCDC98 and RAP80 control only part of the DNA damage response role of BRCA1. At least two isoforms of CCDC98 are known to exist.
Specifications
| ABRA1 | |
| Polyclonal | |
| Unconjugated | |
| Abraxas1 | |
| 3830405G04Rik; 5630400M01Rik; ABRA1; abraxas protein; Abraxas1; AI506069; AL024423; AV118690; BRCA1-A complex subunit Abraxas; BRCA1-A complex subunit Abraxas 1; Ccdc98; coiled-coil domain containing 98; coiled-coil domain-containing protein 98; FAM175A; family with sequence similarity 175 member A; family with sequence similarity 175, member A; FLJ11520; FLJ12642; FLJ13614; Protein FAM175A; RGD1305287; UNQ496/PRO1013 | |
| Rabbit | |
| Antigen affinity chromatography | |
| RUO | |
| 84142 | |
| Store at 4°C short term. For long term storage, store at -20°C, avoiding freeze/thaw cycles. | |
| Liquid |
| Immunohistochemistry (Paraffin), Western Blot, Immunocytochemistry | |
| 0.05 mg/mL | |
| PBS with 40% glycerol and 0.02% sodium azide; pH 7.2 | |
| Q6UWZ7 | |
| Abraxas1 | |
| Recombinant protein corresponding to Human ABRA1. Recombinant protein control fragment (Product #RP-102777). | |
| 100 μL | |
| Primary | |
| Human | |
| Antibody | |
| IgG |
Safety and Handling
WARNING: Cancer - www.P65Warnings.ca.gov
Product Content Correction
Your input is important to us. Please complete this form to provide feedback related to the content on this product.
Product Title
Spot an opportunity for improvement?Share a Content Correction