Promotional price valid on web orders only. Your contract pricing may differ. Interested in signing up for a dedicated account number?
Learn More
Learn More
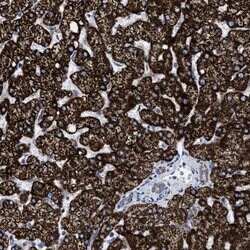
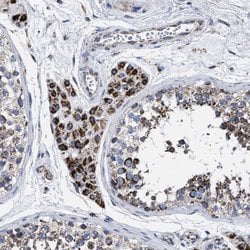
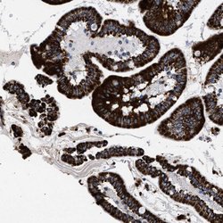
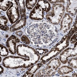
Invitrogen™ ACADS Polyclonal Antibody

Rabbit Polyclonal Antibody
Supplier: Invitrogen™ PA554580
Description
Immunogen sequence: ELPETHQMLL QTCRDFAEKE LFPIAAQVDK EHLFPAAQVK KMGGLGLLAM DVPEELGGAG LDYLAYAIAM EEISRGCAST GVIMSVNNSL YLGPILKFGS KEQKQAWVTP FTSGDKIGCF ALSEPGNGS Highest antigen sequence identity to the following orthologs: Mouse - 88%, Rat - 89%.
Introduces a double bond at position 2 in saturated acyl-CoA's of short chain length, i. e. less than 6 carbon atoms.
Specifications
ACADS | |
Polyclonal | |
Unconjugated | |
ACADS | |
ACAD3; Acads; acetyl-Coenzyme A dehydrogenase, short chain; acyl-CoA dehydrogenase short chain; acyl-CoA dehydrogenase, C-2 to C-3 short chain; acyl-Coenzyme A dehydrogenase, C-2 to C-3 short chain; acyl-Coenzyme A dehydrogenase, short chain; AI196007; Bcd1; Bcd-1; butyryl-CoA dehydrogenase; EGK_04272; Hdlq8; mitochondrial short-chain specific acyl-CoA dehydrogenase; SCAD; short chain acyl-coenzyme A dehydrogenase; short-chain acyl-CoA dehydrogenase; short-chain specific acyl-CoA dehydrogenase, mitochondrial; unsaturated acyl-CoA reductase | |
Rabbit | |
Antigen affinity chromatography | |
RUO | |
11409, 35, 64304 | |
Store at 4°C short term. For long term storage, store at -20°C, avoiding freeze/thaw cycles. | |
Liquid |
Immunohistochemistry (Paraffin), Western Blot, Immunocytochemistry | |
0.3 mg/mL | |
PBS with 40% glycerol and 0.02% sodium azide; pH 7.2 | |
P15651, P16219, Q07417 | |
ACADS | |
Recombinant protein corresponding to Human ACADS. Recombinant protein control fragment (Product #RP-88757). | |
100 μL | |
Primary | |
Human, Mouse, Rat | |
Antibody | |
IgG |
Product Content Correction
Your input is important to us. Please complete this form to provide feedback related to the content on this product.
Product Title
Spot an opportunity for improvement?Share a Content Correction