Learn More
Invitrogen™ ACADS Polyclonal Antibody

Rabbit Polyclonal Antibody
Supplier: Invitrogen™ PA587528
Description
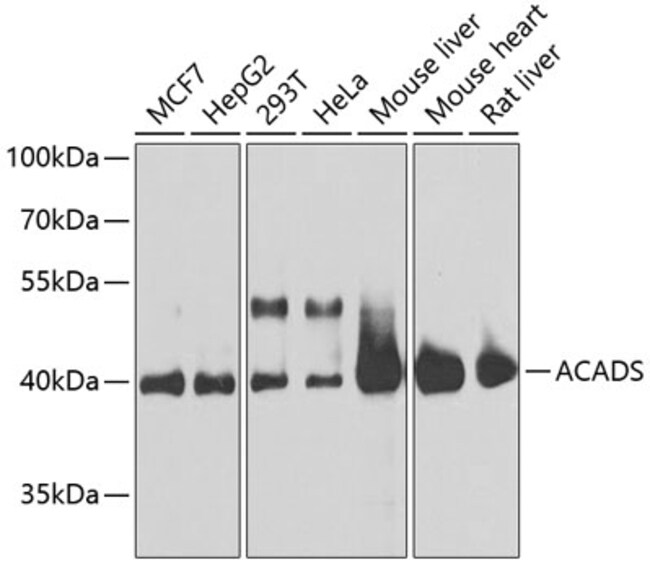
Immunogen sequence: MAAALLARAS GPARRALCPR AWRQLHTIYQ SVELPETHQM LLQTCRDFAE KELFPIAAQV DKEHLFPAAQ VKKMGGLGLL AMDVPEELGG AGLDYLAYAI AMEEISRGCA STGVIMSVNN SLYLGPILKF GSKEQKQAWV TPFTSGDKIG CFALSEPGNG SDAGAASTTA RAEGDSWVLN GTKAWITNAW EASAAVVFAS TDRALQNKGI SAFLVPMPTP GLTLGKKEDK LGIRGSSTAN LIFEDCRIPK DSILGEPGMG; Positive Samples: MCF7, HepG2, 293T, HeLa, Mouse liver, Mouse heart, Rat liver; Cellular Location: Mitochondrion matrix.
Introduces a double bond at position 2 in saturated acyl-CoA's of short chain length, i. e. less than 6 carbon atoms.
Specifications
ACADS | |
Polyclonal | |
Unconjugated | |
ACADS | |
ACAD3; Acads; acetyl-Coenzyme A dehydrogenase, short chain; acyl-CoA dehydrogenase short chain; acyl-CoA dehydrogenase, C-2 to C-3 short chain; acyl-Coenzyme A dehydrogenase, C-2 to C-3 short chain; acyl-Coenzyme A dehydrogenase, short chain; AI196007; Bcd1; Bcd-1; butyryl-CoA dehydrogenase; EGK_04272; Hdlq8; mitochondrial short-chain specific acyl-CoA dehydrogenase; SCAD; short chain acyl-coenzyme A dehydrogenase; short-chain acyl-CoA dehydrogenase; short-chain specific acyl-CoA dehydrogenase, mitochondrial; unsaturated acyl-CoA reductase | |
Rabbit | |
Affinity chromatography | |
RUO | |
11409, 35, 64304 | |
-20°C, Avoid Freeze/Thaw Cycles | |
Liquid |
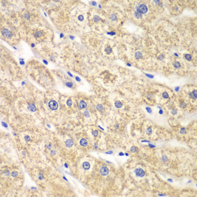
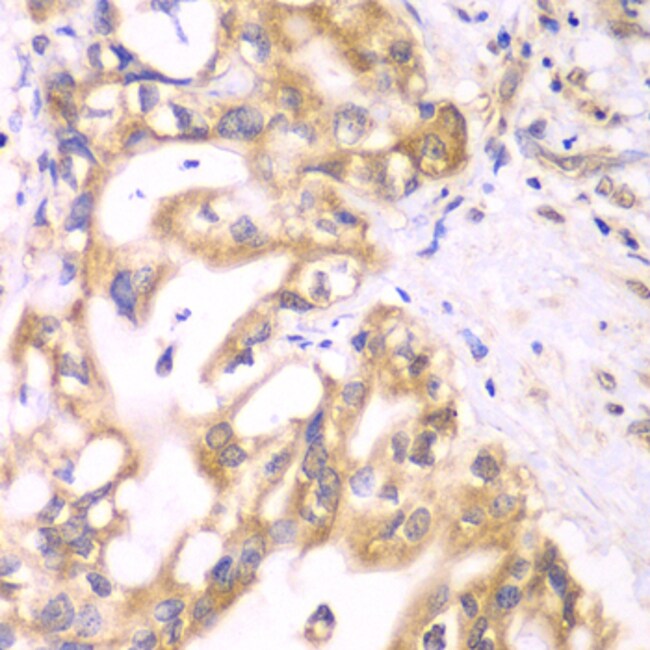
ELISA, Immunohistochemistry (Paraffin), Western Blot | |
0.89 mg/mL | |
PBS with 50% glycerol and 0.02% sodium azide; pH 7.3 | |
P15651, P16219, Q07417 | |
ACADS | |
Recombinant fusion protein containing a sequence corresponding to amino acids 1-260 of human ACADS (NP_0000081). | |
100 μL | |
Primary | |
Human, Mouse, Rat | |
Antibody | |
IgG |
Safety and Handling
Your input is important to us. Please complete this form to provide feedback related to the content on this product.