Promotional price valid on web orders only. Your contract pricing may differ. Interested in signing up for a dedicated account number?
Learn More
Learn More
ACAT2 Mouse anti-Canine, Human, Rat, Clone: OTI3E2, liquid, TrueMAB™

Mouse Monoclonal Antibody
Supplier: OriGene TA501222
Description
The product of this gene is an enzyme involved in lipid metabolism, and it encodes cytosolic acetoacetyl-CoA thiolase. This gene shows complementary overlapping with the 3-prime region of the TCP1 gene in both mouse and human. These genes are encoded on opposite strands of DNA, as well as in opposite transcriptional orientation.Specifications
| ACAT2 | |
| Monoclonal | |
| 1 mg/mL | |
| PBS with 1% BSA, 50% glycerol and 0.02% sodium azide | |
| Q5XI22, Q9BWD1 | |
| Acat2 | |
| Full length human recombit protein of human ACAT2 produced in HEK293T cell. | |
| 100 μL | |
| Primary | |
| Canine, Human, Rat | |
| Antibody | |
| IgG2b |
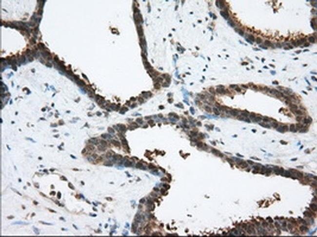
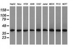
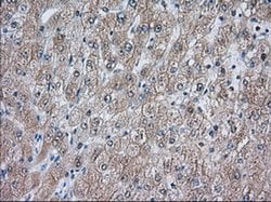
| Flow Cytometry, Immunocytochemistry, Immunofluorescence, Immunohistochemistry (Paraffin), Western Blot | |
| OTI3E2 | |
| Unconjugated | |
| ACAT2 | |
| acetyl-CoA acetyltransferase 2 | |
| Mouse | |
| Affinity Chromatography | |
| RUO | |
| 308100, 39, 484063 | |
| -20° C, Avoid Freeze/Thaw Cycles | |
| Liquid |
Product Content Correction
The Fisher Scientific Encompass Program offers items which are not part of our distribution portfolio. These products typically do not have pictures or detailed descriptions. However, we are committed to improving your shopping experience. Please use the form below to provide feedback related to the content on this product.
Product Title
Spot an opportunity for improvement?Share a Content Correction