Learn More
Invitrogen™ Acetyl-SOD2 (Lys68) Recombinant Rabbit Monoclonal Antibody (23G5)

Description
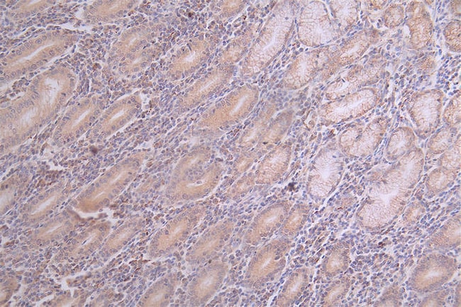
Acetyl-SOD2 (Lys68) Recombinant Monoclonal Antibody for IHC (P), ELISA
Specifications
Specifications
| Antigen | Acetyl-SOD2 (Lys68) |
| Applications | ELISA, Immunohistochemistry (Paraffin) |
| Classification | Recombinant Monoclonal |
| Clone | 23G5 |
| Concentration | 2.5 mg/mL |
| Conjugate | Unconjugated |
| Formulation | PBS with 50% glycerol and 0.02% sodium azide; pH 7.4 |
| Gene | SOD2 |
| Gene Accession No. | P04179 |
| Gene Alias | I79_015272; indophenoloxidase B; IPO B; IPOB; IPO-B; manganese SOD; manganese superoxide dismutase; manganese-containing superoxide dismutase; mangano-superoxide dismutase; manganous superoxide dismutase; mitochondrial superoxide dismutase 2; Mn superoxide dismutase; MNSOD; Mn-SOD; MVCD6; similar to manganous superoxide dismutase; Sod2; Sod-2; sod2.L; sodMt; Superoxide dimutase 2, mitochondrial; superoxide dismutase; superoxide dismutase (Mn type); superoxide dismutase [Mn], mitochondrial; superoxide dismutase 2; superoxide dismutase 2 L homeolog; superoxide dismutase 2, mitochondrial; superoxide dismutase 2, mitochondrial L homeolog |
| Show More |
By clicking Submit, you acknowledge that you may be contacted by Fisher Scientific in regards to the feedback you have provided in this form. We will not share your information for any other purposes. All contact information provided shall also be maintained in accordance with our Privacy Policy.