Promotional price valid on web orders only. Your contract pricing may differ. Interested in signing up for a dedicated account number?
Learn More
Learn More
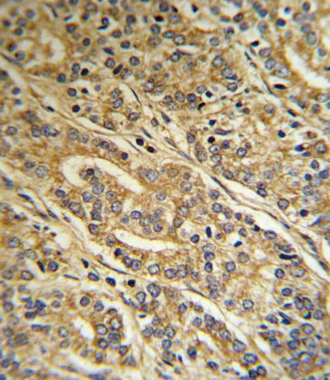
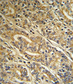
Invitrogen™ ACOT8 Polyclonal Antibody

Rabbit Polyclonal Antibody
Supplier: Invitrogen™ PA526152
Description
ACOT8 Polyclonal Antibody for Western Blot, IHC (P), Flow
Acyl-CoA thioesterases are a group of enzymes that catalyze the hydrolysis of acyl-CoAs to the free fatty acid and coenzyme A (CoASH), providing the potential to regulate intracellular levels of acyl-CoAs, free fatty acids and CoASH. It may mediate Nef-induced down-regulation of CD4. It may be involved in the metabolic regulation of peroxisome proliferation.
Specifications
| ACOT8 | |
| Polyclonal | |
| Unconjugated | |
| ACOT8 | |
| 4,8-dimethylnonanoyl-CoA thioesterase; 48-dimethylnonanoyl-CoA thioesterase; ACOT8; ACTEIII; Acyl-CoA thioesterase 8; acyl-coenzyme A thioesterase 8; choloyl-CoA hydrolase; choloyl-coenzyme A thioesterase; hACTE-III; HIV-Nef associated acyl-CoA thioesterase; HIV-Nef-associated acyl-CoA thioesterase; HNAACTE; hTE; long-chain fatty-acyl-CoA hydrolase; NAP1; Nef (lentivirus myristoylated factor) associated protein 1; palmitoyl-CoA hydrolase; peroxisomal acyl-CoA thioesterase 1; peroxisomal acyl-CoA thioesterase 2; Peroxisomal acyl-coenzyme A thioester hydrolase 1; peroxisomal long-chain acyl-CoA thioesterase 1; PTE1; PTE-1; PTE2; PTE-2; Thioesterase II; thioesterase III | |
| Rabbit | |
| Antigen affinity chromatography, Protein A | |
| RUO | |
| 10005, 170789 | |
| Store at 4°C short term. For long term storage, store at -20°C, avoiding freeze/thaw cycles. | |
| Liquid |
| Flow Cytometry, Immunohistochemistry (Paraffin), Western Blot | |
| 0.25 mg/mL | |
| PBS with 0.09% sodium azide; pH 7.4 | |
| O14734, P58137 | |
| ACOT8 | |
| KLH conjugated synthetic peptide between 290-319 amino acids from the C-terminal region of human ACOT8. | |
| 400 μL | |
| Primary | |
| Human, Mouse | |
| Antibody | |
| IgG |
Product Content Correction
Your input is important to us. Please complete this form to provide feedback related to the content on this product.
Product Title
Spot an opportunity for improvement?Share a Content Correction