Promotional price valid on web orders only. Your contract pricing may differ. Interested in signing up for a dedicated account number?
Learn More
Learn More
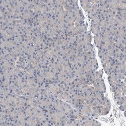
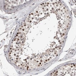
Invitrogen™ ACRC Polyclonal Antibody

Rabbit Polyclonal Antibody
Supplier: Invitrogen™ PA554807
Description
Immunogen sequence: QSSSDDTSGS SVARRAPKRQ ASCILNVQSR SGDTSGSSVA RRAPKRQASS VVVIDSDSDE ECHTHEEKKA KLLEINSDDE SPECCHVKPA IQEPPIVISD DDNDDDNGND LE Highest antigen sequence identity to the following orthologs: Mouse - 30%, Rat - 26%.
Probable catalytic subunit of the acryloyl-CoA reductase complex involved in the pathway of L-alanine fermentation. Catalyzes the irreversible NADH-dependent formation of propionyl-CoA from acryloyl-CoA. It can also use 3-buten-2-one as substrate.
Specifications
ACRC | |
Polyclonal | |
Unconjugated | |
GCNA | |
acidic repeat containing; acidic repeat-containing protein; ACRC; GCNA; Germ cell nuclear antigen; NAAR1; putative nuclear protein | |
Rabbit | |
Antigen affinity chromatography | |
RUO | |
93953 | |
Store at 4°C short term. For long term storage, store at -20°C, avoiding freeze/thaw cycles. | |
Liquid |
Immunohistochemistry (Paraffin), Immunocytochemistry | |
0.1 mg/mL | |
PBS with 40% glycerol and 0.02% sodium azide; pH 7.2 | |
Q96QF7 | |
GCNA | |
Recombinant protein corresponding to Human ACRC. Recombinant protein control fragment (Product #RP-91961). | |
100 μL | |
Primary | |
Human | |
Antibody | |
IgG |
Product Content Correction
Your input is important to us. Please complete this form to provide feedback related to the content on this product.
Product Title
Spot an opportunity for improvement?Share a Content Correction