Promotional price valid on web orders only. Your contract pricing may differ. Interested in signing up for a dedicated account number?
Learn More
Learn More
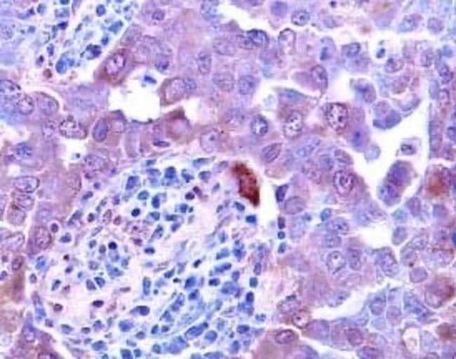
Invitrogen™ Activin A Polyclonal Antibody

Goat Polyclonal Antibody
Supplier: Invitrogen™ PA547004
Description
Reconstitute at 0.2 mg/mL in sterile PBS. Endoxin level is <0.10 EU per 1 μg of the antibody by the LAL method.
Activins are dimeric growth and differentiation factors which belong to the transforming growth factor-beta (TGF-beta) superfamily of structurally related signaling proteins. Activins signal through a heteromeric complex of receptor serine kinases which include at least two type I ( I and IB) and two type II (II and IIB) receptors. These receptors are all transmembrane proteins, composed of a ligand-binding extracellular domain with cysteine-rich region, a transmembrane domain, and a cytoplasmic domain with predicted serine/threonine specificity. Type I receptors are essential for signaling; and type II receptors are required for binding ligands and for expression of type I receptors. Type I and II receptors form a stable complex after ligand binding, resulting in phosphorylation of type I receptors by type II receptors. Activin A mutations are associated with fibrodysplasia ossificans progressive.
Specifications
| Activin A | |
| Polyclonal | |
| Unconjugated | |
| Inhba | |
| activin A; activin beta-A chain; BMP7; BMP-7; Bone morphogenetic protein 7; EDF; Eptotermin alfa; erythroid differentiation factor; erythroid differentiation protein; follicle-stimulating hormone-releasing protein; FRP; FSH-releasing protein; INHB; Inhba; inhibin B subunit; inhibin beta A chain; inhibin beta A protein; inhibin beta A subunit; inhibin beta-A; inhibin beta-A-subunit; inhibin beta-subunit; inhibin subunit beta A; inhibin, beta A; inhibin, beta A (activin A, activin AB alpha polypeptide); Inhibin, beta-1; OP1; OP-1; Osteogenic protein 1; unnamed protein product | |
| Goat | |
| Antigen affinity chromatography | |
| RUO | |
| 16323, 29200, 3624 | |
| -20°C, Avoid Freeze/Thaw Cycles | |
| Lyophilized |
| Immunohistochemistry (Paraffin), Neutralization, Western Blot, Immunocytochemistry | |
| 0.2 mg/mL | |
| PBS with 5% trehalose and No Preservative | |
| P08476, P18331, Q04998 | |
| Inhba | |
| CHO-derived recombinant human Activin A. | |
| 100 μg | |
| Primary | |
| Human, Mouse, Rat | |
| Antibody | |
| IgG |
Product Content Correction
Your input is important to us. Please complete this form to provide feedback related to the content on this product.
Product Title
Spot an opportunity for improvement?Share a Content Correction