Promotional price valid on web orders only. Your contract pricing may differ. Interested in signing up for a dedicated account number?
Learn More
Learn More
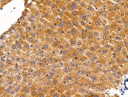
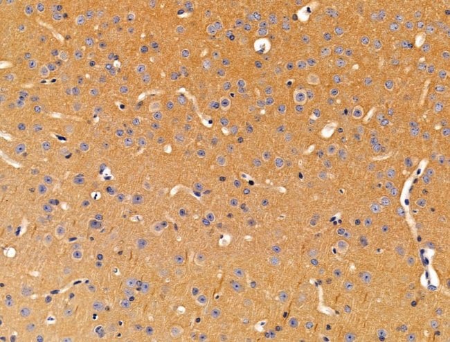
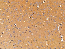
Invitrogen™ ACTR1A Polyclonal Antibody

Rabbit Polyclonal Antibody
Supplier: Invitrogen™ PA5114822
Description
Antibody detects endogenous levels of total ACTR1A.
This gene encodes a 42.6 kD subunit of dynactin, a macromolecular complex consisting of 10-11 subunits ranging in size from 22 to 150 kD. Dynactin binds to both microtubules and cytoplasmic dynein. It is involved in a diverse array of cellular functions, including ER-to-Golgi transport, the centripetal movement of lysosomes and endosomes, spindle formation, chromosome movement, nuclear positioning, and axonogenesis. This subunit is present in 8-13 copies per dynactin molecule, and is the most abundant molecule in the dynactin complex. It is an actin-related protein, and is approximately 60% identical at the amino acid level to conventional actin.
Specifications
ACTR1A | |
Polyclonal | |
Unconjugated | |
ACTR1A | |
actin related protein 1A; actin-related protein 1 alpha; actin-related protein 1 homolog A; actin-RPV; ACTR1A; actr1a {ECO:0000250; alpha-Arp1; alpha-centractin; ARP1; ARP1 actin related protein 1 homolog A; ARP1 actin-related protein 1 homolog A, centractin alpha; ARP1 actin-related protein 1 homolog A, centractin alpha (yeast); ARP1 actin-related protein 1A, centractin alpha; Arp1 centractin alpha; Arp1 contractin alpha; Arp1A; centractin; Centrosome-associated actin homolog; CTRN1; FLJ52695; FLJ52800; FLJ55002; UniProtKB:P61163}; yeast homolog A | |
Rabbit | |
Affinity chromatography | |
RUO | |
10121, 294010, 54130 | |
-20°C | |
Liquid |
Immunohistochemistry (Paraffin), Western Blot, Immunocytochemistry | |
1 mg/mL | |
PBS with 50% glycerol and 0.02% sodium azide | |
P61163, P61164, P85515 | |
ACTR1A | |
A synthesized peptide derived from human ACTR1A(Accession P61163), corresponding to amino acid residues I180-K230. | |
100 μL | |
Primary | |
Human, Mouse, Rat | |
Antibody | |
IgG |
Product Content Correction
Your input is important to us. Please complete this form to provide feedback related to the content on this product.
Product Title
Spot an opportunity for improvement?Share a Content Correction