Promotional price valid on web orders only. Your contract pricing may differ. Interested in signing up for a dedicated account number?
Learn More
Learn More
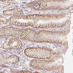
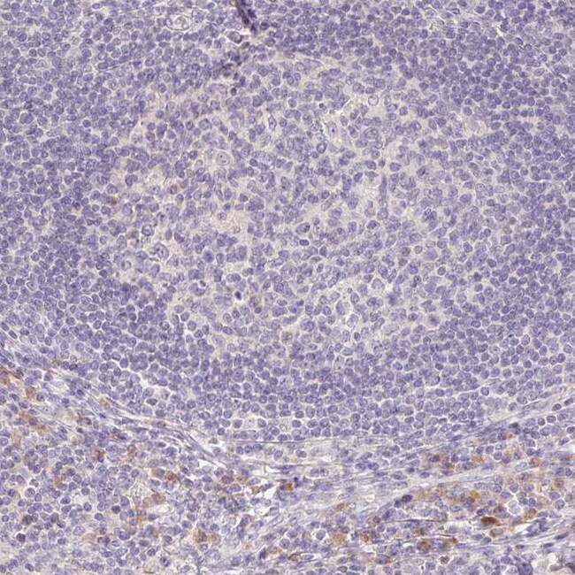
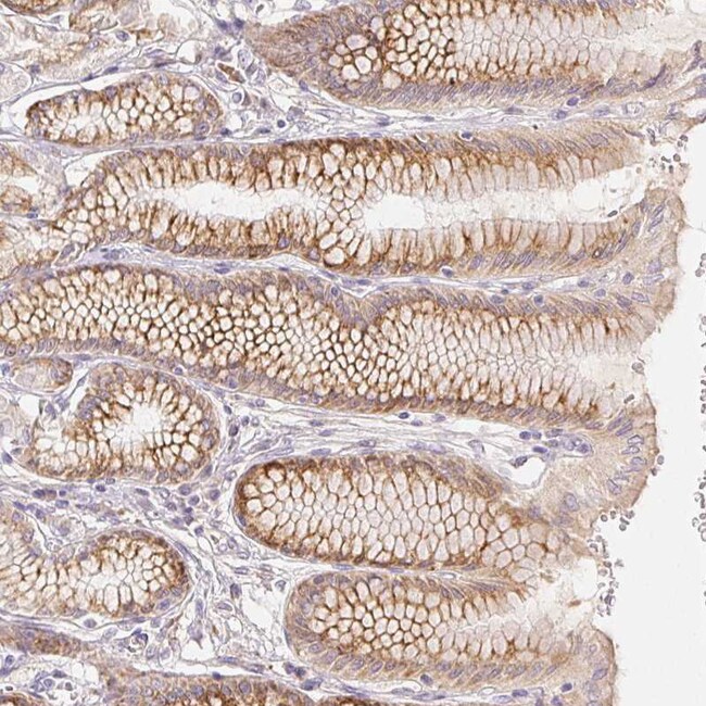
ACVR1B Polyclonal Antibody

ACVR1B Polyclonal Antibody
Supplier: Thermo Scientific PA5111573
Description
ACVR1B Polyclonal Antibody for Western Blot, ICC/IF, IHC
Specifications
| ACVR1B | |
| Polyclonal | |
| PBS with 40% glycerol and 0.02% sodium azide; pH 7.2 | |
| P36896 | |
| ACVR1B | |
| Recombinant Protein corresonding to Human ACVR1B. Recombinant protein control fragment (Product #RP-103526). | |
| 100 μL | |
| Primary | |
| Human | |
| Antibody | |
| IgG |
| Immunohistochemistry (Paraffin), Western Blot, Immunocytochemistry | |
| Unconjugated | |
| ACVR1B | |
| 6820432J04; activin A receptor type 1B; activin A receptor type IB; activin A receptor, type 1B; activin A receptor, type IB; activin A receptor, type II-like kinase 4; activin receptor type IB; Activin receptor type-1B; activin receptor-like kinase 4; ACTRI; ActRIB; ActR-IB; ACVR1A; Acvr1b; ACVRLK2; ACVRLK4; ALK2; Alk4; ALK-4; FOP; Serine/threonine-protein kinase receptor R2; SKR1; SKR2; TSRI | |
| Rabbit | |
| Antigen Affinity Chromatography | |
| RUO | |
| 91 | |
| Store at 4°C short term. For long term storage, store at -20°C, avoiding freeze/thaw cycles. | |
| Liquid |
Product Content Correction
Your input is important to us. Please complete this form to provide feedback related to the content on this product.
Product Title
Spot an opportunity for improvement?Share a Content Correction