Learn More
Invitrogen™ ADAM12 Polyclonal Antibody

Rabbit Polyclonal Antibody
Supplier: Invitrogen™ PA5121158
Description
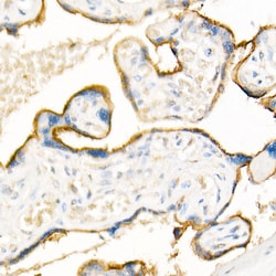
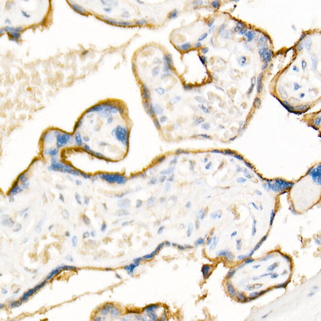
Positive test controls include: Mouse brain, Mouse thymus, Mouse fat, Mouse ovary, Rat brain. The target is usually found in the following locations: Cell membrane, Secreted, Single-pass type I membrane protein. Immunogen sequence: ASRPVIGTNA VSIETNIPLQ QGGRILCRGT HVYLGDDMPD PGLVLAGTKC ADGKICLNRQ CQNISVFGVH ECAMQCHGRG VCNNRKNCHC EAHWAPPFCD KFGFGGSTDS GPIRQAEARQ EAAESNRERG QGQEPVGSQE HASTASLTLI.
ADAM12 is a member of the ADAM (a disintegrin and metalloprotease-like domain) family. Two forms of ADAM12 have been described: ADAM12S and ADAM12L (short and long forms). The short form is a soluble form lacking the transmembrane and cytoplasmic domains. The short form of ADAM12 was reported to provoke myogenesis, and the lack of cytoplasmic domain suggests different regulation pathways (although both forms can be expressed in the same tissue).
Specifications
ADAM12 | |
Polyclonal | |
Unconjugated | |
ADAM12 | |
a disintegrin and metallopeptidase domain 12 (meltrin alpha); a disintegrin and metalloprotease domain 12; a disintegrin and metalloproteinase; a disintegrin and metalloproteinase domain 12 (meltrin alpha); ADAM; ADAM 12; ADAM metallopeptidase domain 12; Adam12; ADAM12-OT1; ADAMs; CAR10; Disintegrin and metalloproteinase domain-containing protein 12; MCMP; MCMPMltna; meltrin alpha; meltrin-alpha; metalloendopeptidases; metalloprotease-disintegrin 12 transmembrane; mKIAA4001; MLTN; Mltna; PRO545; RP11-295J3.5; UNQ346; UNQ346/PRO545 | |
Rabbit | |
Affinity Chromatography | |
RUO | |
11489, 679837, 8038 | |
-20°C, Avoid Freeze/Thaw Cycles | |
Liquid |
ELISA, Immunohistochemistry (Paraffin), Western Blot, Immunocytochemistry | |
0.26 mg/mL | |
PBS with 50% glycerol and 0.02% sodium azide; pH 7.3 | |
O43184, Q61824 | |
ADAM12 | |
Recombinant fusion protein containing a sequence corresponding to amino acids 589-738 of human ADAM12 (NP_067673.2). | |
100 μL | |
Primary | |
Human, Mouse, Rat | |
Antibody | |
IgG |
Your input is important to us. Please complete this form to provide feedback related to the content on this product.