Promotional price valid on web orders only. Your contract pricing may differ. Interested in signing up for a dedicated account number?
Learn More
Learn More
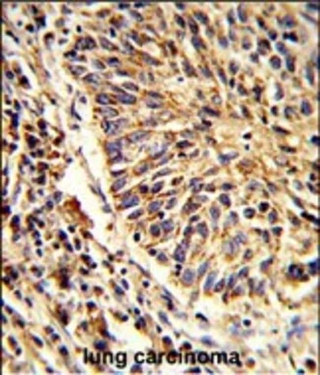
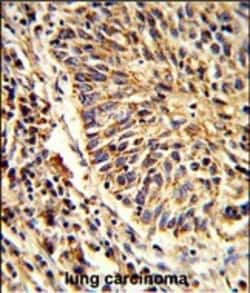
Invitrogen™ ADAM9 Polyclonal Antibody

Rabbit Polyclonal Antibody
Supplier: Invitrogen™ PA525959
Description
ADAM9 Polyclonal Antibody for Western Blot, IHC (P), Flow
ADAM9 is a member of the ADAM (a disintegrin and metalloprotease domain) family. Members of this family are membrane-anchored proteins structurally related to snake venom disintegrins, and have been implicated in a variety of biological processes involving cell-cell and cell-matrix interactions, including fertilization, muscle development, and neurogenesis. This protein interacts with SH3 domain-containing proteins, binds mitotic arrest deficient 2 beta protein, and is also involved in TPA-induced ectodomain shedding of membrane-anchored heparin-binding EGF-like growth factor.
Specifications
| ADAM9 | |
| Polyclonal | |
| Unconjugated | |
| ADAM9 | |
| a disintegrin and metallopeptidase domain 9 (meltrin gamma); a disintegrin and metalloprotease domain 9; a disintegrin and metalloproteinase; a disintegrin and metalloproteinase domain 9 (meltrin gamma); ADAM; ADAM 9; ADAM metallopeptidase domain 9; ADAM metallopeptidase domain 9 (meltrin gamma); adam9; ADAMs; AU020942; Cellular disintegrin-related protein; cone rod dystrophy 9; CORD9; Disintegrin and metalloproteinase domain-containing protein 9; Kiaa0021; MCMP; MDC 9; MDC9; meltrin gamma; meltrin-gamma; metalloendopeptidases; Metalloprotease/disintegrin/cysteine-rich protein 9; mKIAA0021; Mltng; Myeloma cell metalloproteinase; OTTHUMP00000216481; OTTHUMP00000216484; OTTHUMP00000216485 | |
| Rabbit | |
| Ammonium sulfate precipitation, Size-exclusion - Dialysis | |
| RUO | |
| 8754 | |
| Store at 4°C short term. For long term storage, store at -20°C, avoiding freeze/thaw cycles. | |
| Liquid |
| Flow Cytometry, Immunohistochemistry (Paraffin), Western Blot | |
| 2 mg/mL | |
| PBS with 0.09% sodium azide; pH 7.4 | |
| Q13443 | |
| ADAM9 | |
| KLH conjugated synthetic peptide between 704-733 amino acids from the C-terminal region of human ADAM9. | |
| 400 μL | |
| Primary | |
| Human | |
| Antibody | |
| IgG |
Safety and Handling
WARNING: Cancer - www.P65Warnings.ca.gov
Product Content Correction
Your input is important to us. Please complete this form to provide feedback related to the content on this product.
Product Title
Spot an opportunity for improvement?Share a Content Correction