Learn More
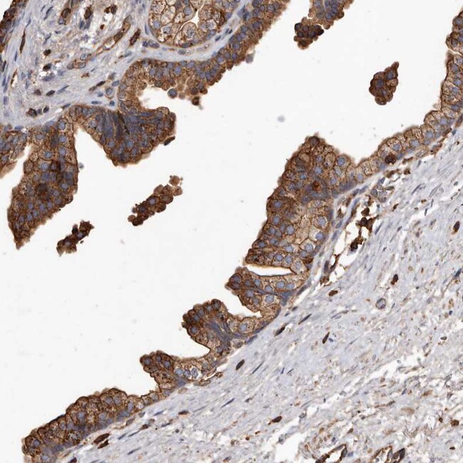
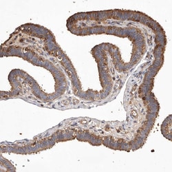
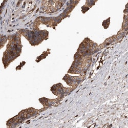
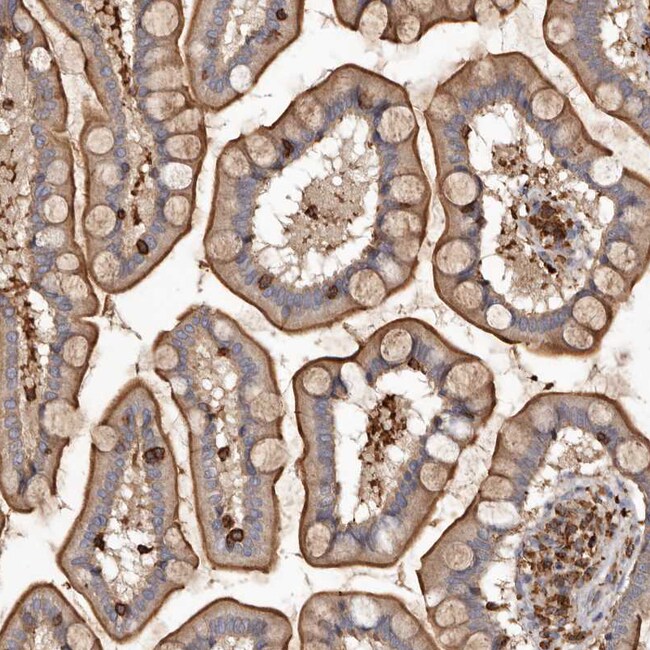
Invitrogen™ ADCK4 Polyclonal Antibody

Description
Immunogen sequence: ACAQNFRQLL ANDPFFRVPA VVKELCTTRV LGMELAGGVP LDQCQGLSQD LRNQICFQLL TLCLR Highest antigen sequence identity to the following orthologs: Mouse - 89%, Rat - 88%.
Specifications
Specifications
| Antigen | ADCK4 |
| Applications | Immunohistochemistry (Paraffin), Western Blot, Immunocytochemistry |
| Classification | Polyclonal |
| Concentration | 0.2 mg/mL |
| Conjugate | Unconjugated |
| Formulation | PBS with 40% glycerol and 0.02% sodium azide; pH 7.2 |
| Gene | COQ8B |
| Gene Accession No. | Q96D53 |
| Gene Alias | 0610012P18Rik; aarF domain containing kinase 4; aarF domain-containing protein kinase 4; ADCK4; Atypical kinase COQ8B, mitochondrial; Coenzyme Q protein 8B; coenzyme Q8B; COQ8B; FLJ12229; NPHS9 |
| Gene Symbols | COQ8B |
| Show More |
By clicking Submit, you acknowledge that you may be contacted by Fisher Scientific in regards to the feedback you have provided in this form. We will not share your information for any other purposes. All contact information provided shall also be maintained in accordance with our Privacy Policy.