Promotional price valid on web orders only. Your contract pricing may differ. Interested in signing up for a dedicated account number?
Learn More
Learn More
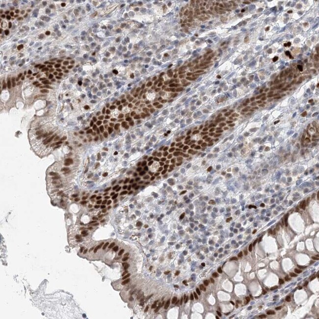
Invitrogen™ Adenylate Kinase 9 Polyclonal Antibody

Rabbit Polyclonal Antibody
Supplier: Invitrogen™ PA556564
Description
Immunogen sequence: VVTMIEETIK MSQDINFEQP YEKHAEILQE VLGEVMEENK DRFPGAPKYG GWIVDNCPIV KELWMALIKK GIIPDLVIYL SDTENNGK Highest antigen sequence identity to the following orthologs: Mouse - 59%, Rat - 65%.
Involved in maintaining the homeostasis of cellular nucleotides by catalyzing the interconversion of nucleoside phosphates. Has both nucleoside monophosphate and diphosphate kinase activities. Catalyzes the phosphorylation of AMP, dAMP, CMP and dCMP with ATP as phosphate donor and of CMP with GTP as phosphate donor. Also catalyzes the production of ATP, CTP, GTP, UTP, dATP, dCTP, dGTP and TTP from the corresponding diphosphate substrates with either ATP or GTP as phosphate donor. Shows substrate preference of CDP > UDP > ADP > GDP > TDP.
Specifications
Adenylate Kinase 9 | |
Polyclonal | |
Unconjugated | |
AK9 | |
Adenylate kinase 9; adenylate kinase domain containing 1; adenylate kinase domain containing 2; Adenylate kinase domain-containing protein 1; Adenylate kinase domain-containing protein 2; AK 9; AK9; AKD1; AKD2; C6orf199; C6orf224; dJ70A9.1; Gm234; Gm7127; RGD1560386; RP1-70A9.1; similar to novel protein | |
Rabbit | |
Antigen affinity chromatography | |
RUO | |
221264 | |
Store at 4°C short term. For long term storage, store at -20°C, avoiding freeze/thaw cycles. | |
Liquid |
Immunohistochemistry (Paraffin), Immunocytochemistry | |
0.4 mg/mL | |
PBS with 40% glycerol and 0.02% sodium azide; pH 7.2 | |
Q5TCS8 | |
AK9 | |
Recombinant protein corresponding to Human Adenylate Kinase 9. Recombinant protein control fragment (Product #RP-94911). | |
100 μL | |
Primary | |
Human | |
Antibody | |
IgG |
Product Content Correction
Your input is important to us. Please complete this form to provide feedback related to the content on this product.
Product Title
Spot an opportunity for improvement?Share a Content Correction