Promotional price valid on web orders only. Your contract pricing may differ. Interested in signing up for a dedicated account number?
Learn More
Learn More
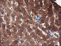
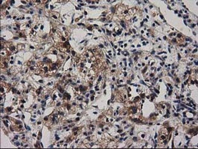
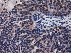
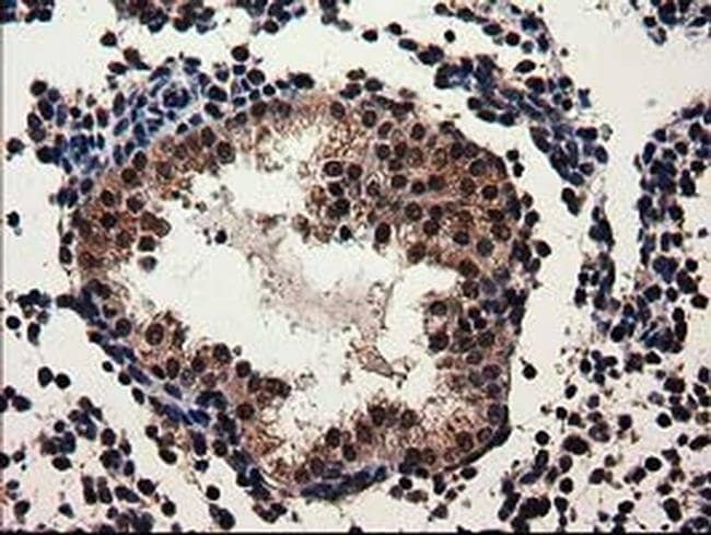
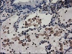
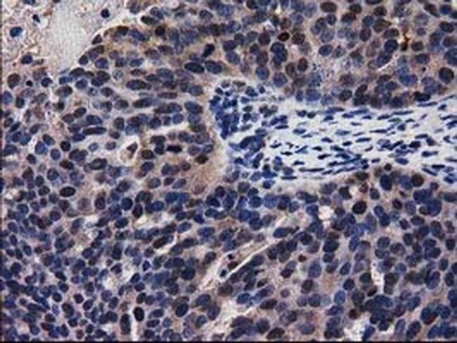
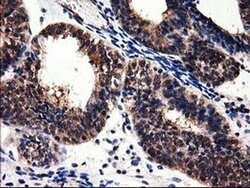
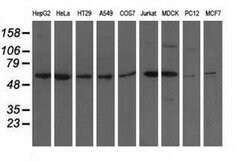
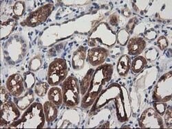
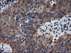
Invitrogen™ ADSL Monoclonal Antibody (OTI2D10)

Mouse Monoclonal Antibody
Supplier: Invitrogen™ MA525263
Description
ADSL Monoclonal Antibody for Western Blot, IHC (P), Flow
ADSL (adenylosuccinate lyase), also known as AMPS, ASL or ASASE, is a 484 amino acid protein that is involved in both purine biosynthesis and in the formation of adenosine monophosphate (AMP) from inosine monophosphate. Expressed ubiquitously, ADSL catalyzes two key reactions in AMP biosynthesis, namely the removal of a fumarate from succinylaminoimidazole carboxamide (SAICA) ribotide to give aminoimidazole carboxamide ribotide (AICA) and the subsequent removal of fumarate from adenylosuccinate to yield AMP. Defects in the gene encoding ADSL are the cause of adenylosuccinase deficiency (ADSL deficiency), an autosomal recessive disorder characterized by epilepsy, growth retardation and muscular wasting. Multiple isoforms of ADSL exist due to alternative splicing events.
Specifications
| ADSL | |
| Monoclonal | |
| 0.55 mg/mL | |
| PBS with 1% BSA, 50% glycerol and 0.02% sodium azide; pH 7.3 | |
| P30566, Q8HXY5 | |
| Adsl | |
| Full length human recombinant protein of ADSL produced in HEK293T cell. | |
| 100 μL | |
| Primary | |
| Human, Rat, Canine, Cynomolgus Monkey | |
| Antibody | |
| IgG1 |
| Flow Cytometry, Immunohistochemistry (Paraffin), Western Blot | |
| OTI2D10 | |
| Unconjugated | |
| Adsl | |
| 2510006M18Rik; Adenylosuccinase; adenylosuccinate lyase; adenylosuccinate lyase 1; Adl; Adsl; AMPS; argininosuccinase; argininosuccinate lyase; Arginosuccinase; ASAL; ASase; ASL; null; test; unnamed protein product | |
| Mouse | |
| Affinity chromatography | |
| RUO | |
| 101864843, 158, 315150, 474499 | |
| -20°C, Avoid Freeze/Thaw Cycles | |
| Liquid |
Product Content Correction
Your input is important to us. Please complete this form to provide feedback related to the content on this product.
Product Title
Spot an opportunity for improvement?Share a Content Correction