Promotional price valid on web orders only. Your contract pricing may differ. Interested in signing up for a dedicated account number?
Learn More
Learn More
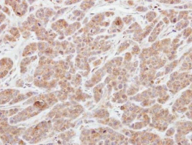
Invitrogen™ AGAP1 Polyclonal Antibody

Rabbit Polyclonal Antibody
Supplier: Invitrogen™ PA530692
Description
Recommended positive controls: MCF-7. Predicted reactivity: Human (99%), Mouse (98%), Xenopus laevis (95%), Rhesus Monkey (98%). Store product as a concentrated solution. Centrifuge briefly prior to opening the vial.
GTPase-activating protein for ARF1 and, to a lesser extent, ARF5. Directly and specifically regulates the adapter protein 3 (AP-3)-dependent trafficking of proteins in the endosomal-lysosomal system.
Specifications
| AGAP1 | |
| Polyclonal | |
| Unconjugated | |
| AGAP1 | |
| AGAP1; AGAP-1; Arf GAP with GTP-binding protein-like, ANK repeat and PH domains 1; ArfGAP with GTPase domain, ankyrin repeat and PH domain 1; arf-GAP with GTPase, ANK repeat and PH domain-containing protein 1; centaurin, gamma 2; centaurin-gamma-2; CENTG2; cnt-g2; GGAP1; GTP-binding and GTPase-activating protein 1; Kiaa1099; mKIAA1099; R75364 | |
| Rabbit | |
| Antigen affinity chromatography | |
| RUO | |
| 116987 | |
| Store at 4°C short term. For long term storage, store at -20°C, avoiding freeze/thaw cycles. | |
| Liquid |
| Immunohistochemistry (Paraffin), Western Blot | |
| 0.32 mg/mL | |
| 0.1M tris glycine with 20% glycerol and 0.01% thimerosal; pH 7 | |
| Q9UPQ3 | |
| AGAP1 | |
| Recombinant protein encompassing a sequence within the center region of human AGAP1. The exact sequence is proprietary. | |
| 100 μL | |
| Primary | |
| Human | |
| Antibody | |
| IgG |
Safety and Handling
WARNING: Cancer - www.P65Warnings.ca.gov
Product Content Correction
Your input is important to us. Please complete this form to provide feedback related to the content on this product.
Product Title
Spot an opportunity for improvement?Share a Content Correction