Promotional price valid on web orders only. Your contract pricing may differ. Interested in signing up for a dedicated account number?
Learn More
Learn More
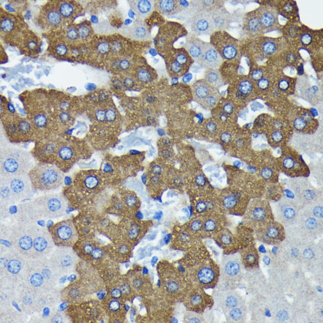
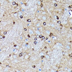
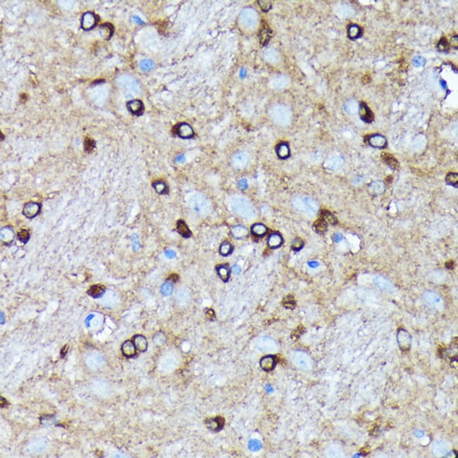
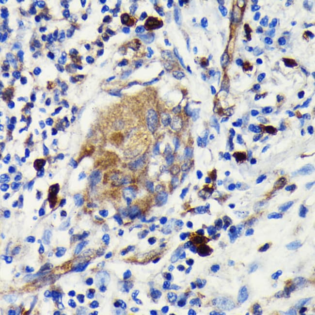
Invitrogen™ AGO2 Recombinant Rabbit Monoclonal Antibody (10S10L5)

Rabbit Recombinant Monoclonal Antibody
Supplier: Invitrogen™ MA537960
Description
Positive Samples: 293T, U-87MG, MCF7, HepG2, Mouse kidney, Rat liver Immunogen sequence: QRCIKKLTDN QTSTMIRATA RSAPDRQEEI SKLMRSASFN TDPYVREFGI MVKDEMTDVT GRVLQPPSIL YGGRNKAIAT PVQGVWDMRN KQFHTGIEIK V.
Ago proteins are broadly expressed in somatic cells, associate with miRNAs and are key actors in different RNA silencing pathways. However, only the Ago2 protein displays endonucleolytic or 'Slicer' activity and can therefore execute miRNA-directed cleavage of target mRNA, provided that the base-pairing between the Ago2-associated miRNA and the mRNA sequence is perfect. In case of partial complementarity, the Ago2 protein fails to cleave, but instead interferes with translation of the target mRNA via its translational repression activity. Ago2 has been shown to play a non-redundant role in small RNA guided gene silencing processes, including RNA interference, translation repression and heterochromatinization. As a core element of the RISC complex, AGO2 initiates the degradation of target mRNAs through its catalytic activity in gene silencing processes guided by siRNAs or miRNAs. In addition to mRNA degradation or gene silencing guided by miRNAs, Ago2 also acts as a RNA slicer in a Dicer-independent way, as well as a regulator of miRNA maturation. Over-expression of Ago2 has been correlated with several aspects of cancers, including tumor cell growth and the overall survival of cancer patients. Furthermore, gene disruption in the mouse demonstrated that the Ago2 protein is essential for embryonic development and a key regulator of B-lymphoid and erythroid development.
Specifications
| AGO2 | |
| Recombinant Monoclonal | |
| 0.6 mg/mL | |
| PBS with 0.05% BSA, 50% glycerol and 0.02% sodium azide; pH 7.3 | |
| Q8CJG0, Q9QZ81, Q9UKV8 | |
| AGO2 | |
| Synthetic peptide. | |
| 100 μL | |
| Primary | |
| Human, Mouse, Rat | |
| Antibody | |
| IgG |
| ELISA, Immunohistochemistry (Paraffin), Western Blot | |
| 10S10L5 | |
| Unconjugated | |
| AGO2 | |
| 1110029L17Rik; 2310051F07Rik; AGO1; AGO2; AI225898; AL022874; argonaute 2; argonaute 2, RISC catalytic component; argonaute RISC catalytic component 2; argonaute RISC catalytic subunit 2; Argonaute1; argonaute2; argonaute2 {ECO:0000255; AW546247; CTA-204B4.6; eIF2C; eIF2C 1; eIF-2C 1; eIF2C 2; eIF-2C 2; eIF2C 2 {ECO:0000255; eIF-2C 2 {ECO:0000255; EIF2C1; Eif2c2; ENSMUSG00000072493; Eukaryotic translation initiation factor 2C 2; eukaryotic translation initiation factor 2C 2 {ECO:0000255; eukaryotic translation initiation factor 2C, 2; GERp95; Gm10365; Golgi ER protein 95 kDa; hAgo1; hAgo2; HAMAP-Rule:MF_03031}; Kiaa4215; mAgo2; mKIAA4215; PAZ Piwi domain protein; Piwi/Argonaute family protein meIF2C2; PPD; Protein argonaute-1; protein argonaute-2; Protein slicer; Q10 | |
| Rabbit | |
| Affinity chromatography | |
| RUO | |
| 239528, 27161, 59117 | |
| -20°C, Avoid Freeze/Thaw Cycles | |
| Liquid |
Safety and Handling
WARNING: Cancer - www.P65Warnings.ca.gov
Product Content Correction
Your input is important to us. Please complete this form to provide feedback related to the content on this product.
Product Title
Spot an opportunity for improvement?Share a Content Correction