Promotional price valid on web orders only. Your contract pricing may differ. Interested in signing up for a dedicated account number?
Learn More
Learn More
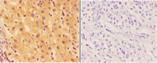
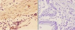
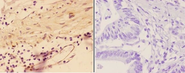
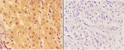
Invitrogen™ Agrin Polyclonal Antibody

Rabbit Polyclonal Antibody
Supplier: Invitrogen™ PA537121
Description
This antibody detects endogenous protein at a molecular weight of 217 kDa. Purity is >95% by SDS-PAGE.
Agrin is a molecule that resides in the basal lamina of muscle cells and directs key events in post synaptic differentiation. Most notably, Agrin is responsible for the clustering of acetylcholine receptors (AChRs) on the cell surface and their localization to the neuromuscular junction. Several Agrin variants have been identified which arise from alternative mRNA splicings. Agrin splice forms having inserts at two sites in the carboxy terminus designated y and z display a high affinity for AChRs, while splice forms lacking these inserts associate with AChRs weakly. Muscle alpha-dystroglycan has been postulated to be the receptor for the clustering activity of agrin; however, this is a point of contention. Tyrosine phosphorylation has been implicated as a required early step in AChR aggregation. Interestingly, a unique receptor tyrosine kinase, designated MuSK, has been discovered that interacts with Agrin and is specifically localized to developing muscle.
Specifications
Agrin | |
Polyclonal | |
Unconjugated | |
Agrn | |
AGR; Agrin; Agrin C-terminal 110 kDa subunit; Agrin C-terminal 22 kDa fragment; Agrin C-terminal 90 kDa fragment; Agrin N-terminal 110 kDa subunit; agrin proteoglycan; Agrn; C22; C90; CMS8; CMSPPD; nmf380; RP23-139J18.2 | |
Rabbit | |
Antigen affinity chromatography | |
RUO | |
11603, 25592, 375790 | |
Store at 4°C short term. For long term storage, store at -20°C, avoiding freeze/thaw cycles. | |
Liquid |
Immunohistochemistry (Paraffin), Western Blot | |
1 mg/mL | |
PBS with 50% glycerol and 0.02% sodium azide; pH 7.2 | |
A2ASQ1, O00468, P25304 | |
Agrn | |
A synthetic peptide corresponding to residues in human AGRN. | |
100 μL | |
Primary | |
Human, Mouse, Rat | |
Antibody | |
IgG |
Product Content Correction
Your input is important to us. Please complete this form to provide feedback related to the content on this product.
Product Title
Spot an opportunity for improvement?Share a Content Correction