Learn More
Invitrogen™ AHA1 Polyclonal Antibody

Description
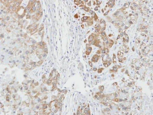
Recommended positive controls: 293T, A431, Jurkat, Raji, HeLa. Predicted reactivity: Mouse (95%), Rat (95%), Rhesus Monkey (99%), Bovine (93%). Store product as a concentrated solution. Centrifuge briefly prior to opening the vial.
Specifications
Specifications
| Antigen | AHA1 |
| Applications | Immunohistochemistry (Paraffin), Western Blot, Immunocytochemistry |
| Classification | Polyclonal |
| Concentration | 1 mg/mL |
| Conjugate | Unconjugated |
| Formulation | PBS with 40% glycerol and 0.01% thimerosal; pH 7 |
| Gene | Ahsa1 |
| Gene Accession No. | O95433 |
| Gene Alias | Activator of 90 kDa heat shock protein ATPase homolog 1; activator of Hsp90 ATPase activity 1; Activator of Hsp90 ATPase protein 1; Aha 1; AHA1; AHA1, activator of heat shock 90kDa protein ATPase homolog 1; AHA1, activator of heat shock 90kDa protein ATPase homolog 1 (yeast); AHA1, activator of heat shock protein ATPase 1; AHA1, activator of heat shock protein ATPase homolog 1; Aha1p; AHSA 1; Ahsa1; BC023857; C14orf3; hAha1; Hsp90 co-chaperone AHA1; HSPC322; p38; SHSA1; YD8142.16; YD8142B.06; YDR214W |
| Gene Symbols | Ahsa1 |
| Show More |
By clicking Submit, you acknowledge that you may be contacted by Fisher Scientific in regards to the feedback you have provided in this form. We will not share your information for any other purposes. All contact information provided shall also be maintained in accordance with our Privacy Policy.