Promotional price valid on web orders only. Your contract pricing may differ. Interested in signing up for a dedicated account number?
Learn More
Learn More
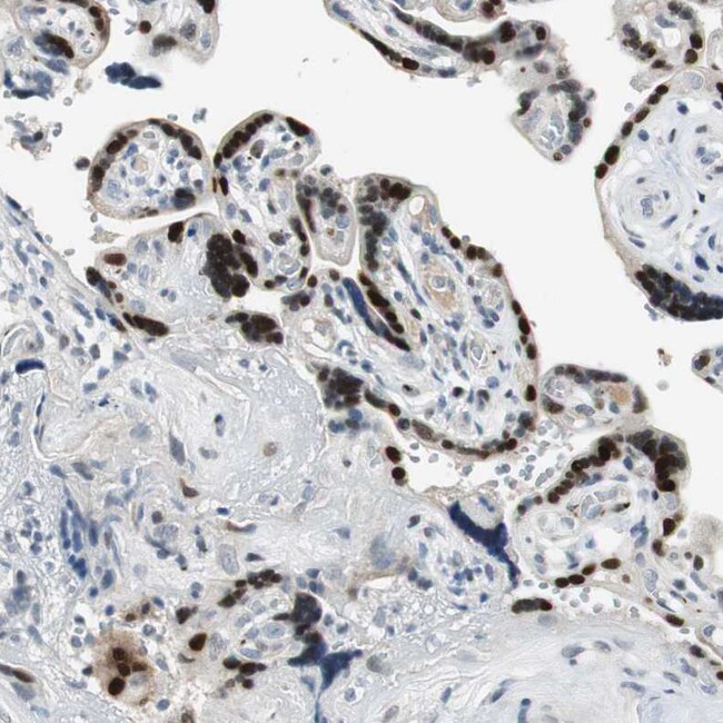
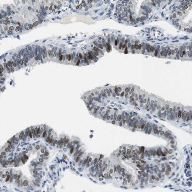
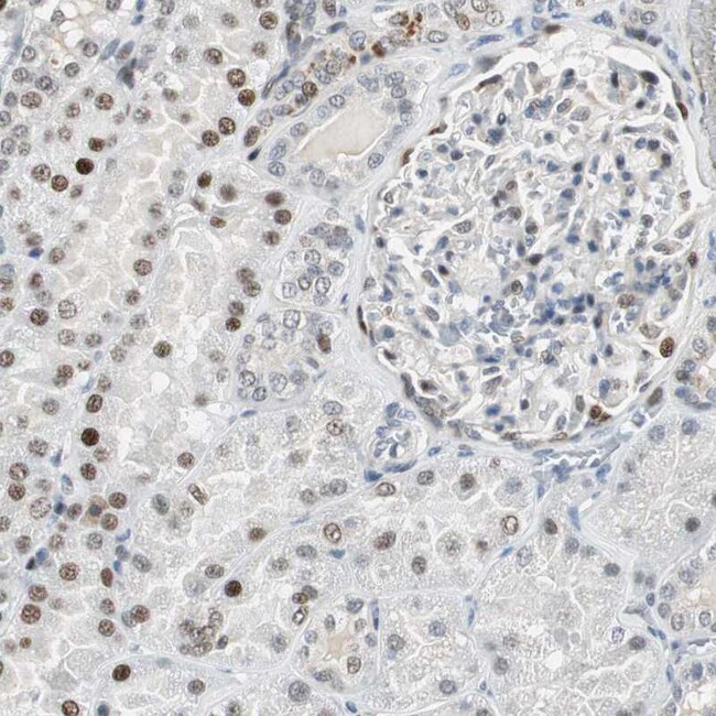
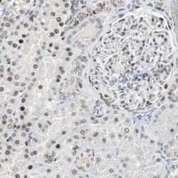
Invitrogen™ AJUBA Polyclonal Antibody

Rabbit Polyclonal Antibody
Supplier: Invitrogen™ PA552264
Description
Immunogen sequence: LDRLYAQRPA GFGCQESRHS YPPALGSPGA LAGAGVGAAG PLERRGAQPG RHSVTGYGDC AVGARYQDEL TALLRLTVGT GGREAGARGE PSGIEPSGLE EPPGPFVPEA ARARMREPEA REDYFGTCIK CNKGIYGQSN Highest antigen sequence identity to the following orthologs: Mouse - 91%, Rat - 89%.
AJUBA (Ajuba LIM Protein) is a Protein Coding gene. Diseases associated with AJUBA include Wilson-Turner X-Linked Mental Retardation Syndrome and Syndromic X-Linked Intellectual Disability. Among its related pathways are Hippo signaling pathway and Adhesion. Gene Ontology (GO) annotations related to this gene include chromatin binding and actin filament binding. An important paralog of this gene is LIMD1.
Specifications
| AJUBA | |
| Polyclonal | |
| Unconjugated | |
| AJUBA | |
| AJUBA; ajuba homolog; ajuba LIM protein; Ajuba protein; JUB; jub, ajuba homolog; LIM domain-containing protein ajuba; protein ajuba | |
| Rabbit | |
| Antigen affinity chromatography | |
| RUO | |
| 84962 | |
| Store at 4°C short term. For long term storage, store at -20°C, avoiding freeze/thaw cycles. | |
| Liquid |
| Immunohistochemistry (Paraffin), Western Blot, Immunocytochemistry | |
| 0.2 mg/mL | |
| PBS with 40% glycerol and 0.02% sodium azide; pH 7.2 | |
| Q96IF1 | |
| AJUBA | |
| Recombinant protein corresponding to Human AJUBA. Recombinant protein control fragment (Product #RP-89131). | |
| 100 μL | |
| Primary | |
| Human | |
| Antibody | |
| IgG |
Product Content Correction
Your input is important to us. Please complete this form to provide feedback related to the content on this product.
Product Title
Spot an opportunity for improvement?Share a Content Correction