Promotional price valid on web orders only. Your contract pricing may differ. Interested in signing up for a dedicated account number?
Learn More
Learn More
AK4 Mouse anti-Canine, Human, Mouse, Rat, Clone: OTI3B1, liquid, TrueMAB™

Mouse Monoclonal Antibody
Supplier: OriGene TA503011
Description
This gene encodes a member of the adenylate kinase family of enzymes. The encoded protein is localized to the mitochondrial matrix. Adenylate kinases regulate the adenine and guanine nucleotide compositions within a cell by catalyzing the reversible transfer of phosphate group among these nucleotides. Five isozymes of adenylate kinase have been identified in vertebrates. Expression of these isozymes is tissue-specific and developmentally regulated. A pseudogene for this gene has been located on chromosome 17. Three transcript variants encoding the same protein have been identified for this gene. Sequence alignment suggests that the gene defined by NM_013410, NM_203464, and NM_001005353 is located on chromosome 1.Specifications
| AK4 | |
| Monoclonal | |
| 1 mg/mL | |
| PBS with 1% BSA, 50% glycerol and 0.02% sodium azide | |
| P27144, Q9WUR9, Q9WUS0 | |
| AK4 | |
| Full length human recombit protein of human AK4 produced in HEK293 cell. | |
| 100 μL | |
| Primary | |
| Canine, Human, Mouse, Rat | |
| Antibody | |
| IgG1 |
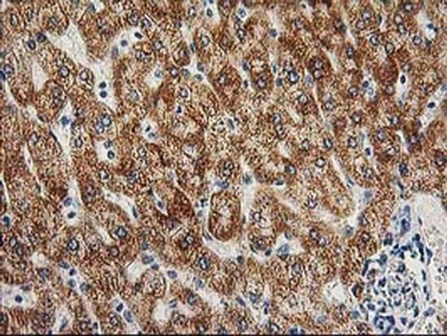
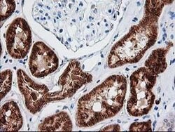
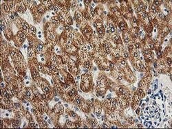
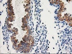
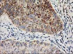
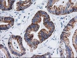
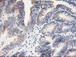
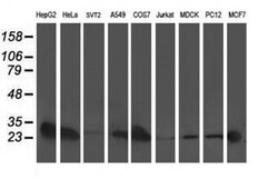
| Flow Cytometry, Immunocytochemistry, Immunofluorescence, Immunohistochemistry (Paraffin), Western Blot | |
| OTI3B1 | |
| Unconjugated | |
| AK4 | |
| AK 4, AK3, AK3L1, AK3L2 | |
| Mouse | |
| Affinity Chromatography | |
| RUO | |
| 11639, 205, 29223, 489554 | |
| -20° C, Avoid Freeze/Thaw Cycles | |
| Liquid |
Product Content Correction
The Fisher Scientific Encompass Program offers items which are not part of our distribution portfolio. These products typically do not have pictures or detailed descriptions. However, we are committed to improving your shopping experience. Please use the form below to provide feedback related to the content on this product.
Product Title
Spot an opportunity for improvement?Share a Content Correction