Promotional price valid on web orders only. Your contract pricing may differ. Interested in signing up for a dedicated account number?
Learn More

AKAP13/AKAP-Lbc Rabbit anti-Human, Polyclonal, Bethyl Laboratories

Rabbit Polyclonal Antibody

Supplier:  Bethyl Laboratories, Inc A301404A

Encompass_Preferred

Catalog No. 50-156-0297


May include imposed supplier surcharges.
Only null left
Add to Cart

Description

Description

The recommended shelf life for this product is 1 year from date of receipt.

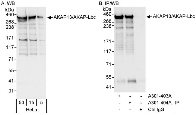
The type II cAMP-protein kinase (PKA) is a multifunctional kinase with a broad range of substrates. Specificity of PKA signaling is thought to be mediated by the compartmentalization of the kinase to specific sites within the cell. To maintain this specific localization, the R subunit (RII) of PKA interacts with specific RII-anchoring proteins. The family of RII-anchoring proteins has been designated A-kinase anchoring proteins (AKAP). AKAP 13, also known as Brx (breast cancer nuclear receptor-binding auxiliary protein), Lbc (lymphoid blast crisis oncogene), HA-3 or Ht31 (human thyroid-anchoring protein 31), functions as a cAMP-dependent scaffold anchor for PKA and also has Rho-GEF activity. It is known to regulate TLR2 signaling, NFkB activation, protein kinase D activation and participate in Actin stress fiber formation. Seven isoforms exist for AKAP 13 and, depending on the isoform, it localizes to the cytoplasm, nucleus or cell membrane.
Specifications

Specifications

AKAP13/AKAP-Lbc
Polyclonal
Unconjugated
AKAP13
A-kinase anchor protein 13, AKAP-13, AKAP-Lbc, Breast cancer nuclear receptor-binding auxiliary protein, Guanine nucleotide exchange factor Lbc, Human thyroid-anchoring protein 31, Lymphoid blast crisis oncogene, LBC oncogene, Non-oncogenic Rho GTPase-specific GTP exchange factor, Protein kinase A-anchoring protein 13, PRKA13, p47, BRX, HT31, LBC, AKAP13
Rabbit
Antigen affinity chromatography
RUO
11214
4° C
Liquid
Immunoprecipitation, Western Blot
0.2 mg/ml
TBS with 0.1% BSA and 0.09% sodium azide
Q12802
AKAP13
Between 2754 and 2804
100 μL
Primary
Human
Antibody
IgG
Product Suggestions

Product Suggestions

Videos
SDS
Documents

Documents

Product Certifications
Promotions

Promotions

Product Content Correction

The Fisher Scientific Encompass Program offers items which are not part of our distribution portfolio. These products typically do not have pictures or detailed descriptions. However, we are committed to improving your shopping experience. Please use the form below to provide feedback related to the content on this product.

Product Title

By clicking Submit, you acknowledge that you may be contacted by Fisher Scientific in regards to the feedback you have provided in this form. We will not share your information for any other purposes. All contact information provided shall also be maintained in accordance with our Privacy Policy.

Your feedback has been submitted: Thank you for helping us improve our website.