Learn More
Invitrogen™ ALDH1A2 Polyclonal Antibody

Rabbit Polyclonal Antibody
Supplier: Invitrogen™ PA596705
Description
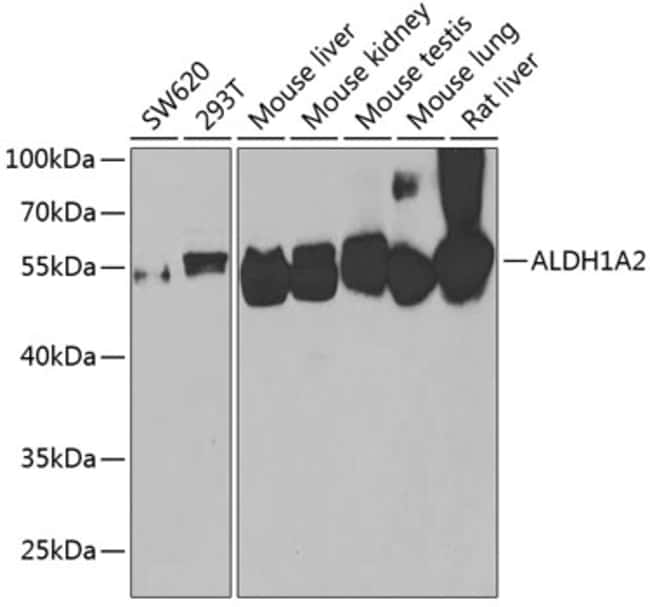
Immunogen sequence: MTSSKIEMPG EVKADPAALM ASLHLLPSPT PNLEIKYTKI FINNEWQNSE SGRVFPVYNP ATGEQVCEVQ EADKADIDKA VQAARLAFSL GSVWRRMDAS ERGRLLDKLA DLVERDRAVL ATMESLNGGK PFLQAFYVDL QGVIKTFRYY AGWADKIHGM TIPVDGDYFT FTRHEPIGVC; Positive Samples: SW620, 293T, Mouse liver, Mouse kidney, Mouse testis, Mouse lung, Rat liver; Cellular Location: Cytoplasm.
This protein belongs to the aldehyde dehydrogenase family of proteins. The product of this gene is an enzyme that catalyzes the synthesis of retinoic acid (RA) from retinaldehyde. Retinoic acid, the active derivative of vitamin A (retinol), is a hormonal signaling molecule that functions in developing and adult tissues. The studies of a similar mouse gene suggest that this enzyme and the cytochrome CYP26A1, concurrently establish local embryonic retinoic acid levels which facilitate posterior organ development and prevent spina bifida. Three transcript variants encoding distinct isoforms have been identified for this gene.
Specifications
ALDH1A2 | |
Polyclonal | |
Unconjugated | |
ALDH1A2 | |
AL1A2; alcohol dehydrogenase family 1, subfamily A2; alcohol dehydrogenase family 1, subfamily A7; aldehyde dehydrogenase 1 family member A2; aldehyde dehydrogenase 1 family, member A2; aldehyde dehydrogenase 1A2; aldehyde dehydrogenase family 1 member A2; aldehyde dehydrogenase family 1, subfamily A2; Aldh1a2; Aldh1a7; AV116159; fb50h01; neckless; nls; nof; no-fin; RALDH 2; RALDH(II); Raldh1; RALDH2; Raldh-2; RALDH2-T; retinal dehydrogenase 2; retinal dehydrogenase, type II; retinaldehyde dehydrogenase 2; retinaldehyde dehydrogenase type 2; retinaldehyde-specific dehydrogenase type 2 | |
Rabbit | |
Affinity Chromatography | |
RUO | |
116676, 19378, 8854 | |
-20°C, Avoid Freeze/Thaw Cycles | |
Liquid |
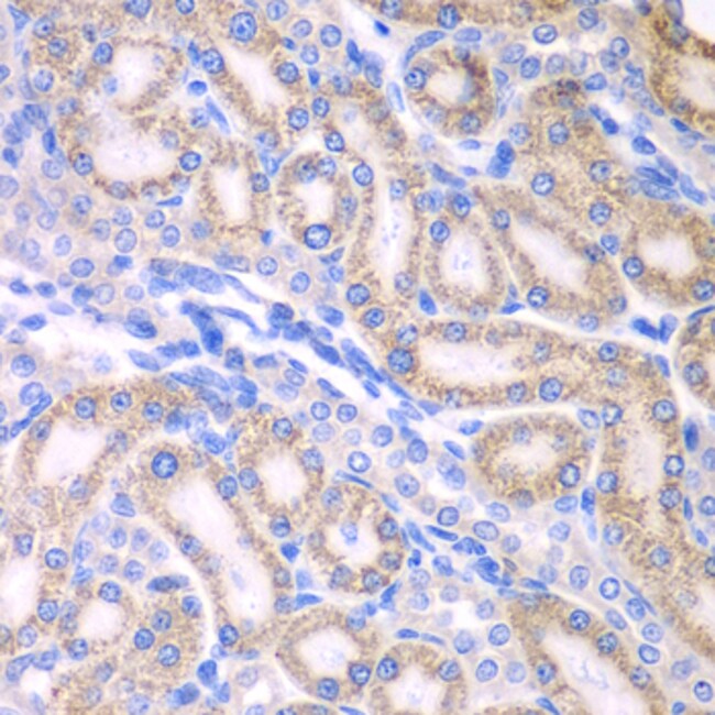
ELISA, Immunohistochemistry (Paraffin), Western Blot, Immunocytochemistry | |
1.59 mg/mL | |
PBS with 50% glycerol and 0.02% sodium azide; pH 7.3 | |
O94788, Q62148, Q63639 | |
ALDH1A2 | |
Recombinant fusion protein containing a sequence corresponding to amino acids 1-180 of human ALDH1A2 (NP_7337971). | |
100 μL | |
Primary | |
Human, Mouse, Rat | |
Antibody | |
IgG |
Your input is important to us. Please complete this form to provide feedback related to the content on this product.