Promotional price valid on web orders only. Your contract pricing may differ. Interested in signing up for a dedicated account number?
Learn More
Learn More
ALDH1L1 Mouse anti-Canine, Human, Mouse, Rat, Clone: UMAB43, liquid, UltraMAB™

Mouse Monoclonal Antibody
Supplier: OriGene UM570039
Description
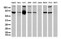
ALDH1L1 catalyzes the conversion of 10-formyltetrahydrofolate, NADP, and water to tetrahydrofolate, NADPH, and carbon dioxide. The encoded protein belongs to the aldehyde dehydrogenase family and is responsible for formate oxidation in vivo. Deficiencies in this gene can result in an accumulation of formate and subsequent methanol poisoning.Specifications
| ALDH1L1 | |
| Monoclonal | |
| Unconjugated | |
| ALDH1L1 | |
| 10-FTHFDH, 10-fTHF, FDH, FTHFD | |
| Mouse | |
| Affinity Chromatography | |
| RUO | |
| 100855730, 107747, 10840, 64392 | |
| -20° C, Avoid Freeze/Thaw Cycles | |
| Liquid |
| Immunocytochemistry, Immunofluorescence, Immunohistochemistry (Paraffin), Western Blot | |
| UMAB43 | |
| PBS with 1% BSA, 50% glycerol and 0.02% sodium azide | |
| O75891, P28037, Q8R0Y6 | |
| Aldh1l1, LOC100855730 | |
| Full length human recombit protein of human ALDH1L1 produced in HEK293T cell. | |
| 30 μL | |
| Primary | |
| Canine, Human, Mouse, Rat | |
| Antibody | |
| IgG2b |
Product Content Correction
The Fisher Scientific Encompass Program offers items which are not part of our distribution portfolio. These products typically do not have pictures or detailed descriptions. However, we are committed to improving your shopping experience. Please use the form below to provide feedback related to the content on this product.
Product Title
Spot an opportunity for improvement?Share a Content Correction