Promotional price valid on web orders only. Your contract pricing may differ. Interested in signing up for a dedicated account number?
Learn More
Learn More
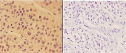
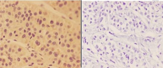
Invitrogen™ ALDH3B2 Polyclonal Antibody

Rabbit Polyclonal Antibody
Supplier: Invitrogen™ PA537122
Description
This antibody detects endogenous protein at a molecular weight of 43 kDa. Purity is >95% by SDS-PAGE.
ALDH3B2 (aldehyde dehydrogenase 3 family, member B2), also known as ALDH8, is a 385 amino acid protein that belongs to the ALDH family and is involved in the pathway of alcohol metabolism. Expressed in salivary gland tissue, ALDH3B2 functions to catalyze the NADP+-dependent conversion of an aldehyde into an acid. The gene encoding ALDH3B2 maps to human chromosome 11, which houses over 1, 400 genes and comprises nearly 4% of the human genome. Jervell and Lange-Nielsen syndrome, Jacobsen syndrome, Niemann-Pick disease, hereditary angioedema and Smith-Lemli-Opitz syndrome are associated with defects in genes that maps to chromosome 11.
Specifications
| ALDH3B2 | |
| Polyclonal | |
| Unconjugated | |
| Aldh3b2 | |
| acetaldehyde dehydrogenase 8; AI848594; aldehyde dehydrogenase 3 family member B2; aldehyde dehydrogenase 3 family, member B2; aldehyde dehydrogenase 8; Aldehyde dehydrogenase family 3 member B2; Aldh3b2; ALDH8; C130048D07Rik | |
| Rabbit | |
| Antigen affinity chromatography | |
| RUO | |
| 222, 621603, 688800 | |
| Store at 4°C short term. For long term storage, store at -20°C, avoiding freeze/thaw cycles. | |
| Liquid |
| Immunohistochemistry (Paraffin), Western Blot | |
| 1 mg/mL | |
| PBS with 50% glycerol and 0.02% sodium azide; pH 7.2 | |
| E9Q3E1, P48448 | |
| Aldh3b2 | |
| A synthetic peptide corresponding to residues in human ALDH3B2. | |
| 100 μL | |
| Primary | |
| Human, Mouse, Rat | |
| Antibody | |
| IgG |
Product Content Correction
Your input is important to us. Please complete this form to provide feedback related to the content on this product.
Product Title
Spot an opportunity for improvement?Share a Content Correction