Learn More
Invitrogen™ ALDH4A1 Monoclonal Antibody (7E2)

Description
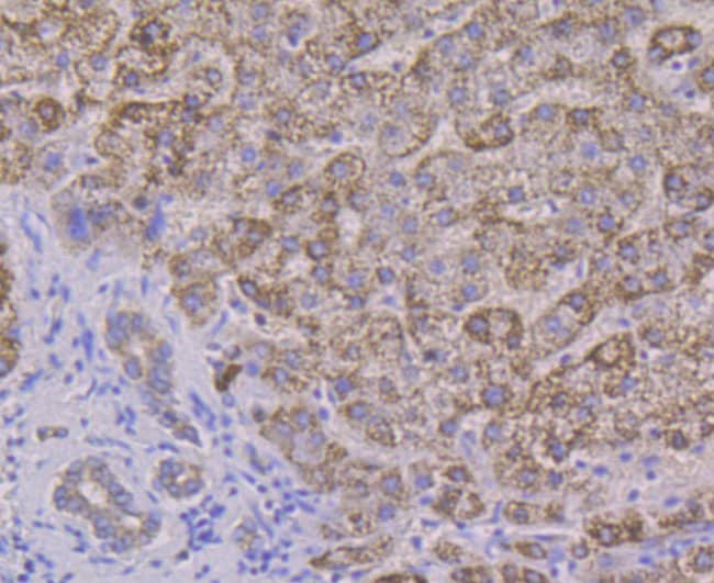
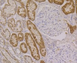
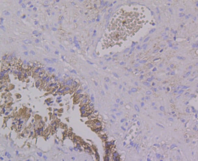
Positive Control: SK-Br-3, HepG2, human liver tissue, human colon cancer tissue, human prostate tissue, human kidney tissue.
Specifications
Specifications
| Antigen | ALDH4A1 |
| Applications | Immunohistochemistry (Paraffin), Western Blot, Immunocytochemistry |
| Classification | Monoclonal |
| Clone | 7E2 |
| Concentration | 1 mg/mL |
| Conjugate | Unconjugated |
| Formulation | PBS with 50% glycerol, 0.2% BSA and 0.05% sodium azide; pH 7.4 |
| Gene | Aldh4a1 |
| Gene Accession No. | P30038 |
| Gene Alias | A930035F14Rik; Ahd1; Ahd-1; aldehyde dehydrogenase 4 family member A1; aldehyde dehydrogenase 4 family, member A1; aldehyde dehydrogenase 4A1; aldehyde dehydrogenase family 4 member A1; ALDH4; aldh4a1; Aldh5a1; delta-1-pyrroline-5-carboxylate dehydrogenase, mitochondrial; E330022C09; L-glutamate gamma-semialdehyde dehydrogenase; mitochondrial delta-1-pyrroline 5-carboxylate dehydrogenase; P5C dehydrogenase; P5cd; P5CDh; P5cdhl; P5cdhs; RP11-128M10.1; similar to aldehyde dehydrogenase 4 family, member A1; Ssdh1; zgc:63592 |
| Show More |
By clicking Submit, you acknowledge that you may be contacted by Fisher Scientific in regards to the feedback you have provided in this form. We will not share your information for any other purposes. All contact information provided shall also be maintained in accordance with our Privacy Policy.