Promotional price valid on web orders only. Your contract pricing may differ. Interested in signing up for a dedicated account number?
Learn More
Learn More
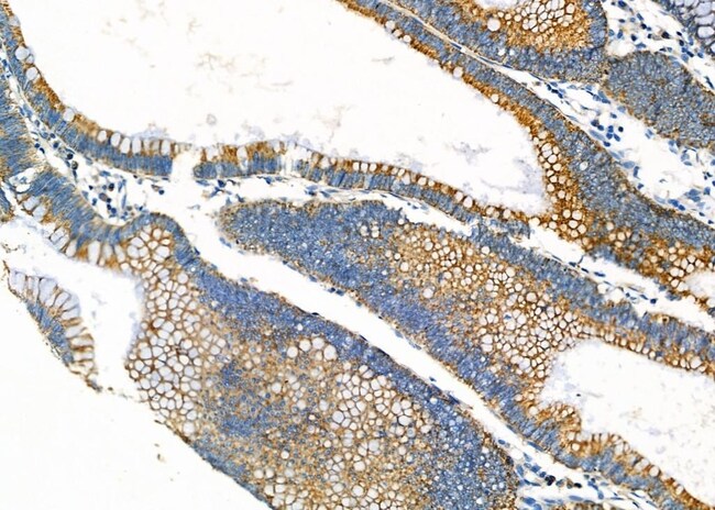
Invitrogen™ ALKBH7 Polyclonal Antibody

Rabbit Polyclonal Antibody
Supplier: Invitrogen™ PA5103501
Description
Antibody detects endogenous levels of total ALKBH7.
ALKBH7 (alkB, alkylation repair homolog 7), also known as SPATA11, is a 221 amino acid protein belonging to the alkB family. ALKBH7 is one of many homologs of the Escherichia coli protein AlkB. AlkB functions to protect DNA and RNA against damage from environmental methylating compounds by directly reversing 1-methyladenine (1-meA) and 3-methylcytosine (3-meC) cytotoxic alkylation lesions in DNA and RNA. The enzyme acts by oxidative demethylation, utilizing ferrous iron and alpha-ketoglutarate as cofactors, 2-oxoglutarate as a co-substrate and molecular oxygen as the oxidizing agent. ALKBH7 is encoded by a gene located on human chromosome 19, which consists of over 63 million bases, houses approximately 1,400 genes and is recognizedfor having the greatest gene density of the human chromosomes.
Specifications
| ALKBH7 | |
| Polyclonal | |
| Unconjugated | |
| ALKBH7 | |
| 2310045B01Rik; 2510008E23Rik; Abh7; alkB homolog 7; alkB, alkylation repair homolog 7; alkB, alkylation repair homolog 7 (E. coli); Alkbh7; Alkylated DNA repair protein alkB homolog 7; alpha-ketoglutarate-dependent dioxygenase alkB homolog 7, mitochondrial; probable alpha-ketoglutarate-dependent dioxygenase ABH7; SPATA11; spermatogenesis associated 11; spermatogenesis cell proliferation related protein; spermatogenesis cell proliferation-related protein; Spermatogenesis-associated protein 11; UNQ6002; UNQ6002/PRO34564 | |
| Rabbit | |
| Affinity chromatography | |
| RUO | |
| 66400, 84266 | |
| -20°C | |
| Liquid |
| Immunohistochemistry (Paraffin), Western Blot, Immunocytochemistry | |
| 1 mg/mL | |
| PBS with 50% glycerol and 0.02% sodium azide; pH 7.4 | |
| Q9BT30, Q9D6Z0 | |
| ALKBH7 | |
| A synthesized peptide derived from human ALKBH7(Accession Q9BT30), corresponding to amino acid residues E51-Q101. | |
| 100 μL | |
| Primary | |
| Human, Mouse, Monkey | |
| Antibody | |
| IgG |
Safety and Handling
WARNING: Cancer - www.P65Warnings.ca.gov
Product Content Correction
Your input is important to us. Please complete this form to provide feedback related to the content on this product.
Product Title
Spot an opportunity for improvement?Share a Content Correction