Promotional price valid on web orders only. Your contract pricing may differ. Interested in signing up for a dedicated account number?
Learn More
Learn More
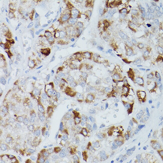
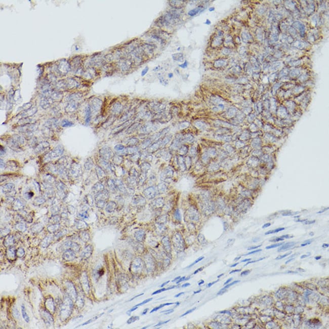
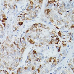
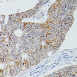
Invitrogen™ ALPL Polyclonal Antibody

Rabbit Polyclonal Antibody
Supplier: Invitrogen™ PA5109383
Description
Immunogen sequence: GVKANEGTVG VSAATERSRC NTTQGNEVTS ILRWAKDAGK SVGIVTTTRV NHATPSAAYA HSADRDWYSD NEMPPEALSQ GCKDIAYQLM HNIRDIDVIM GGGRKYMYPK NKTDVEYESD EKARGTRLDG LDLVDTWKSF K.
Alkaline phosphatase is a homodimeric protein enzyme (86 kDa), containing two zinc atoms crucial to its catalytic function per monomer, and it is optimally active at alkaline pH environments. The enzyme is found in prokaryotes and eukaryotes, with the same general function but in different structural forms suitable to organism's environment. ALP plays a role in liver metabolism and development within the skeleton. In bacteria, ALP acts as a source of inorganic phosphate. In yeast, ALP can be a useful protein for studying membrane protein sorting.
Specifications
| ALPL | |
| Polyclonal | |
| Unconjugated | |
| ALPL | |
| Akp2; Akp-2; Alkaline phosphatase 2; alkaline phosphatase 2, liver; alkaline phosphatase liver/bone/kidney isozyme; alkaline phosphatase precursor (EC 3.1.3.2); alkaline phosphatase tissue non-specific isoform; alkaline phosphatase tissue non-specific isoform/TNS-AP; alkaline phosphatase, biomineralization associated; alkaline phosphatase, intestinal; alkaline phosphatase, liver/bone/kidney; alkaline phosphatase, tissue-nonspecific isozyme; alkaline phosphomonoesterase; ALPI; Alpl; APTNAP; AP-TNAP; FLJ40094; FLJ93059; glycerophosphatase; HOPS; IAP; intestinal alkaline phosphatase; intestinal-type alkaline phosphatase; Kasahara isozyme; liver/bone/kidney isozyme; liver/bone/kidney-type alkaline phosphatase; MGC161443; MGC167935; PHOA; tissue-nonspecific alkaline phosphatase; tissue-nonspecific alkaline phosphatase precursor; tissue-nonspecific ALP; Tissue-nonspecific ALP alkaline phosphatase; TNAP; TNSALP; TNS-AP | |
| Rabbit | |
| Affinity Chromatography | |
| RUO | |
| 11647, 249, 25586 | |
| -20°C, Avoid Freeze/Thaw Cycles | |
| Liquid |
| ELISA, Immunohistochemistry (Paraffin), Western Blot, Immunocytochemistry | |
| 0.68 mg/mL | |
| PBS with 50% glycerol and 0.05% ProClin 300; pH 7.3 | |
| P05186, P08289, P09242 | |
| ALPL | |
| Recombinant protein (or fragment). | |
| 100 μL | |
| Primary | |
| Human, Mouse, Rat | |
| Antibody | |
| IgG |
Product Content Correction
Your input is important to us. Please complete this form to provide feedback related to the content on this product.
Product Title
Spot an opportunity for improvement?Share a Content Correction