Learn More
Description
Specifications
Specifications
| Antigen | Als2 |
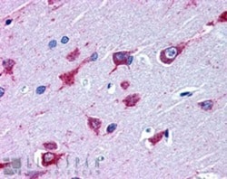
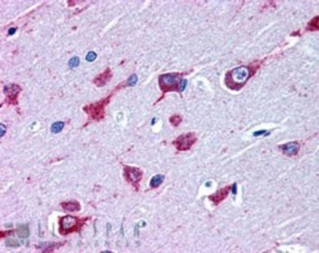
| Applications | Immunohistochemistry, Immunohistochemistry (Paraffin), ELISA, Immunofluorescence |
| Classification | Polyclonal |
| Concentration | 0.5 mg/mL |
| Conjugate | Unconjugated |
| Dilution | Immunohistochemistry, Immunohistochemistry-Paraffin 3 - 5 ug/ml, Peptide ELISA Detection limit 1:8000 |
| Formulation | Tris saline (20 mM Tris pH 7.3, 150 mM NaCl), 0.5% BSA with 0.02% Sodium Azide |
| Gene Accession No. | Q96Q42 |
| Gene Alias | ALS2CR6, alsin, ALSJ, amyotrophic lateral sclerosis 2 (juvenile), amyotrophic lateral sclerosis 2 (juvenile) chromosome region, candidate 6, Amyotrophic lateral sclerosis 2 chromosomal region candidate gene 6 protein, Amyotrophic lateral sclerosis 2 protein, FLJ31851, IAHSP, KIAA1563, MGC87187, PLSJ |
| Gene Symbols | ALS2 |
| Show More |
For Research Use Only
By clicking Submit, you acknowledge that you may be contacted by Fisher Scientific in regards to the feedback you have provided in this form. We will not share your information for any other purposes. All contact information provided shall also be maintained in accordance with our Privacy Policy.
