Promotional price valid on web orders only. Your contract pricing may differ. Interested in signing up for a dedicated account number?
Learn More
Learn More
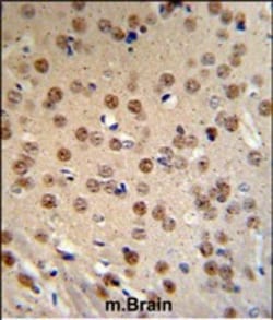
Invitrogen™ AMER1 Polyclonal Antibody

Rabbit Polyclonal Antibody
Supplier: Invitrogen™ PA513492
Description
AMER1 Polyclonal Antibody for Western Blot, IHC (P), Flow
The AMER1 gene encodes the protein APC membrane recruitment 1, also known as Wilms tumor 1-associating protein (WT1-associating protein). This protein plays a significant role in the Wnt signaling pathway, which is critical for cellular processes such as proliferation, differentiation, and migration. AMER1 interacts with the adenomatous polyposis coli (APC) protein and is involved in the regulation of β-catenin, a key mediator of Wnt signaling. By recruiting APC to the cell membrane, AMER1 facilitates the degradation of β-catenin, thereby acting as a negative regulator of the pathway. This function is vital in maintaining cellular homeostasis and preventing uncontrolled cell growth. Mutations or dysregulation of AMER1 are associated with various cancers, including colorectal cancer, as aberrant Wnt signaling can lead to oncogenesis. Moreover, germline mutations in AMER1 are linked to conditions such as osteoporosis-pseudoglioma syndrome, highlighting its role in bone development and eye health. Ongoing research focuses on elucidating the detailed mechanisms of AMER1's involvement in signaling pathways and its potential as a therapeutic target in cancer and genetic disorders.
Specifications
| AMER1 | |
| Polyclonal | |
| Unconjugated | |
| AMER1 | |
| 2810002O09Rik; adenomatous polyposis coli membrane recruitment 1; Amer1; APC membrane recruitment 1; APC membrane recruitment protein 1; AW492303; Fam123b; family with sequence similarity 123, member B; family with sequence similarity 123B; OSCS; protein Fam123b; RGD1560322; RP11-403E24.2; Wilms tumor gene on the X chromosome protein; Wilms tumor on the X; WTX | |
| Rabbit | |
| Ammonium sulfate precipitation, Size-exclusion - Dialysis | |
| RUO | |
| 139285, 72345 | |
| Store at 4°C short term. For long term storage, store at -20°C, avoiding freeze/thaw cycles. | |
| Liquid |
| Flow Cytometry, Immunohistochemistry (Paraffin), Western Blot | |
| 2 mg/mL | |
| PBS with 0.09% sodium azide; pH 7.4 | |
| Q5JTC6, Q7TS75 | |
| AMER1 | |
| KLH conjugated synthetic peptide between 681-708 amino acids from the central region of human WTX. | |
| 400 μL | |
| Primary | |
| Human, Mouse | |
| Antibody | |
| IgG |
Product Content Correction
Your input is important to us. Please complete this form to provide feedback related to the content on this product.
Product Title
Spot an opportunity for improvement?Share a Content Correction