Promotional price valid on web orders only. Your contract pricing may differ. Interested in signing up for a dedicated account number?
Learn More
Learn More
Invitrogen™ Amphiregulin Polyclonal Antibody

Rabbit Polyclonal Antibody
Supplier: Invitrogen™ PA5110750
Description
Immunogen sequence: FSGDHSADGF EVTSRSEMSS GSEISPVSEM PSSSEPSSGA DYDYSEEYDN EPQIPGYIVD DSVRVEQVVK PPQNKTESEN TSDKPKRKKK GGKNGKNRRN RKKKNPCNAE FQNFCIHGEC KYIEHLEAVT CKCQQEYFGE RC.
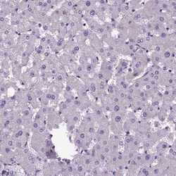
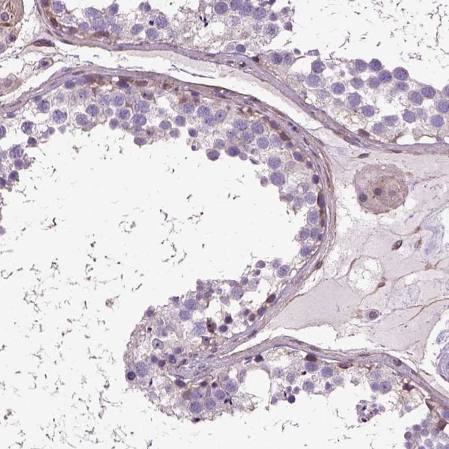
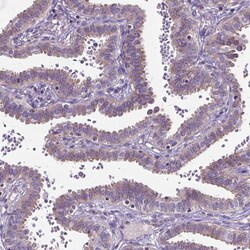
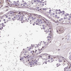
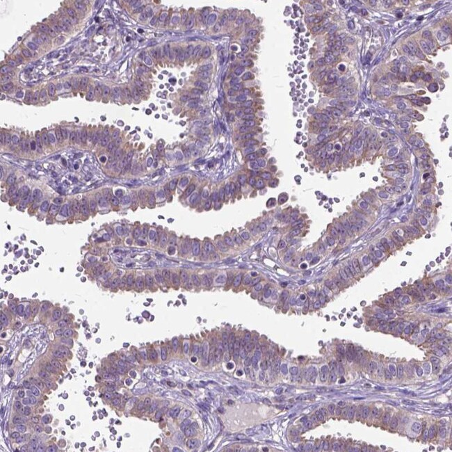
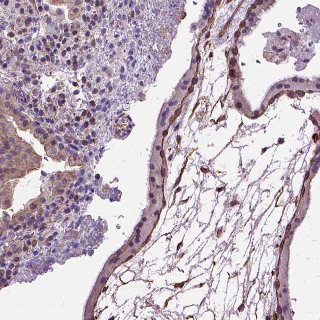
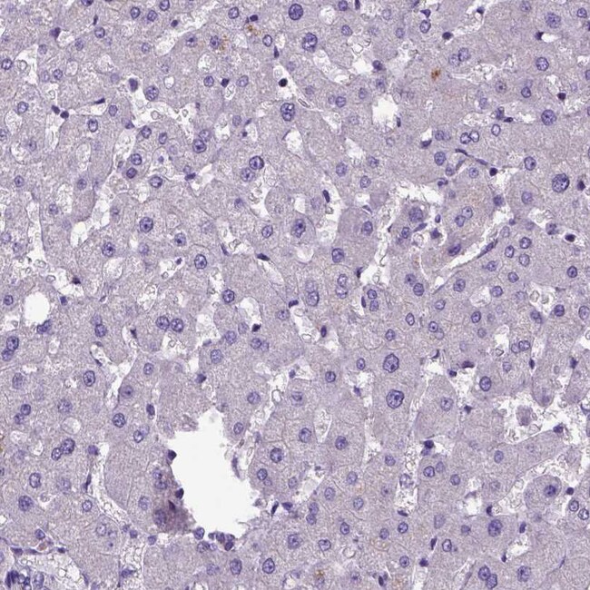
Amphiregulin (AR) binds to EGF-Receptor (EGFR) with lower affinity than EGF. The mature secreted form AR is an 84-amino acid residue glycosylated polypeptide growth regulator, which is generated by proteolytic processing of a 252-amino acid transmembrane precursor. Seven different polypeptide ligands, which derive from distinct genes, are capable of binding to the extracellular domain of EGFR. These ligands include EGF, TGFalpha, AR, HB-EGF, cripto-1, epiregulin, and betacellulin. All of these growth factors contain a characteristic EGF-like domain which is defined by 6 evenly spaced cysteine residues that generate 3 loops through the formation of disulfide bonds. AR protein has been localized by immunohistochemistry to the epithelium of the colon, stomach, pancreas, breast, and placenta. AR is reportedly overexpressed in human cancers of breast, colon, stomach, and pancreas.
Specifications
| Amphiregulin | |
| Polyclonal | |
| Unconjugated | |
| AREG | |
| amphiregulin; amphiregulin B; AR; AREG; AREGB; colorectum cell-derived growth factor; CRDGF; Mcub; MGC13647; schwannoma-derived growth factor; SDGF | |
| Rabbit | |
| Antigen affinity chromatography | |
| RUO | |
| 374 | |
| Store at 4°C short term. For long term storage, store at -20°C, avoiding freeze/thaw cycles. | |
| Liquid |
| Immunohistochemistry (Paraffin) | |
| 0.20 mg/mL | |
| PBS with 40% glycerol and 0.02% sodium azide; pH 7.2 | |
| P15514 | |
| AREG | |
| Recombinant Protein corresonding to Human Amphiregulin. Recombinant protein control fragment (Product #RP-89550). | |
| 100 μL | |
| Primary | |
| Human | |
| Antibody | |
| IgG |
Product Content Correction
Your input is important to us. Please complete this form to provide feedback related to the content on this product.
Product Title
Spot an opportunity for improvement?Share a Content Correction