Learn More
Invitrogen™ AMPK alpha Polyclonal Antibody

Description
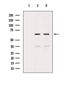
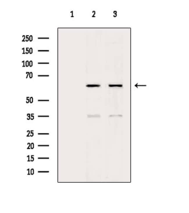
Antibody detects endogenous levels of total AMPK alpha.
Specifications
Specifications
| Antigen | AMPK alpha |
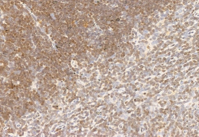
| Applications | Immunohistochemistry (Paraffin), Western Blot, Immunocytochemistry |
| Classification | Polyclonal |
| Concentration | 1 mg/mL |
| Conjugate | Unconjugated |
| Formulation | PBS with 50% glycerol and 0.02% sodium azide; pH 7.4 |
| Gene | Prkaa1 |
| Gene Accession No. | P54645, Q13131, Q5EG47 |
| Gene Alias | 5'-AMP-activated protein kinase alpha-1 catalytic subunit; 5'-AMP-activated protein kinase catalytic subunit alpha-1; 5'-AMP-activated protein kinase, catalytic alpha-1 chain; 63 kDa subunit; AAPK2; ACACA kinase; Acetyl-CoA carboxylase kinase; activated protein kinase; AI194361; AI450832; AL024255; AMP -activate kinase alpha 1 subunit; AMP activated protein kinase; AMP-activated protein kinase, alpha 1 catalytic subunit; AMP-activated protein kinase, catalytic, alpha-1; AMPK; AMPK 63 kDa subunit; AMPK alpha 1; AMPK alpha-1 chain; AMPK subunit alpha-1; AMPK subunit pAMPK; AMPK1; AMPK2; AMPKa1; AMPKalpha1; AMPK-alpha-2 chain; C130083N04Rik; HMGCR kinase; hydroxymethylglutaryl-CoA reductase kinase; MGC33776; MGC57364; pAMPK; PRKAA; Prkaa1; PRKAA2; protein kinase; protein kinase AMP-activated catalytic subunit alpha 1; protein kinase, AMP-activated, alpha 1 catalytic subunit; tau-protein kinase PRKAA1 |
| Gene Symbols | Prkaa1 |
| Show More |
By clicking Submit, you acknowledge that you may be contacted by Fisher Scientific in regards to the feedback you have provided in this form. We will not share your information for any other purposes. All contact information provided shall also be maintained in accordance with our Privacy Policy.