Promotional price valid on web orders only. Your contract pricing may differ. Interested in signing up for a dedicated account number?
Learn More
Learn More
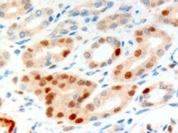
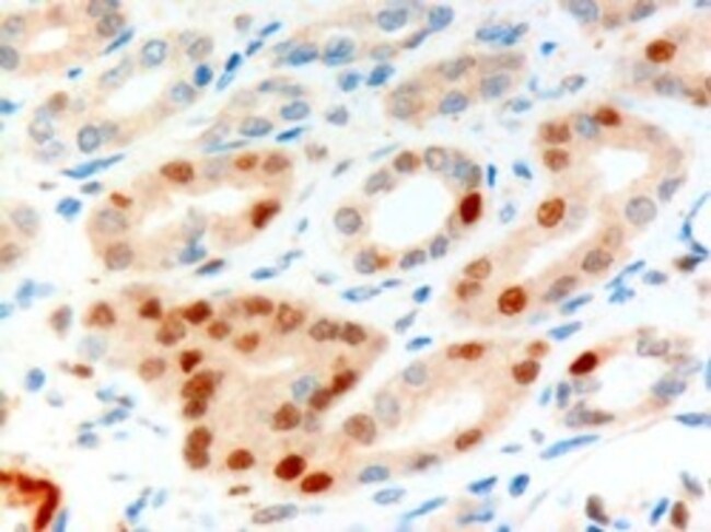
Invitrogen™ Anillin Polyclonal Antibody

Goat Polyclonal Antibody
Supplier: Invitrogen™ PA518199
Description
This antibody is predicted to react with bovine and mouse based on sequence homology. This antibody is tested in Peptide ELISA: antibody detection limit dilution 64,000.
This gene encodes an actin-binding protein that plays a role in cell growth and migration, and in cytokinesis. The encoded protein is thought to regulate actin cytoskeletal dynamics in podocytes, components of the glomerulus. Mutations in this gene are associated with focal segmental glomerulosclerosis 8. Alternative splicing results in multiple transcript variants encoding different isoforms.
Specifications
| Anillin | |
| Polyclonal | |
| Unconjugated | |
| ANLN | |
| 1110037A17Rik; 2900037I21Rik; actin-binding protein anillin; Anillin; anillin actin binding protein; anillin, actin binding protein; anillin, actin binding protein (scraps homolog, Drosophila); Anln; C78101; DKFZp779A055; FSGS8; RGD1561367; scra; Scraps | |
| Goat | |
| Ammonium Sulfate Precipitation | |
| RUO | |
| 54443 | |
| -20°C, Avoid Freeze/Thaw Cycles | |
| Liquid |
| Flow Cytometry, Immunohistochemistry (Paraffin), Immunocytochemistry | |
| 0.5 mg/mL | |
| TBS with 0.5% BSA and 0.02% sodium azide; pH 7.3 | |
| Q9NQW6 | |
| ANLN | |
| Synthetic peptide sequence (WQPDACYKPIGKP) corresponding to the C-terminus amino acids of ANLN (aa 1112-1124). | |
| 100 μg | |
| Primary | |
| Human | |
| Antibody | |
| IgG |
Product Content Correction
Your input is important to us. Please complete this form to provide feedback related to the content on this product.
Product Title
Spot an opportunity for improvement?Share a Content Correction