Promotional price valid on web orders only. Your contract pricing may differ. Interested in signing up for a dedicated account number?
Learn More
Learn More
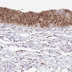
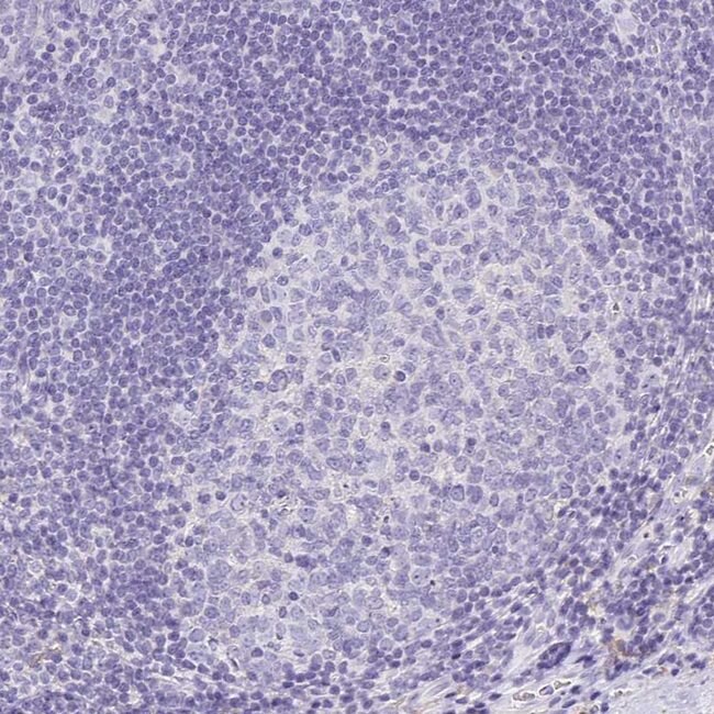
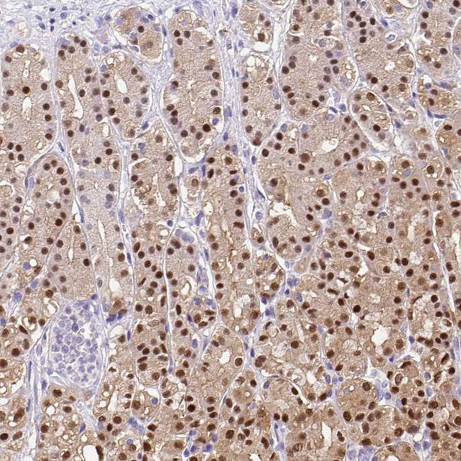
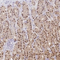
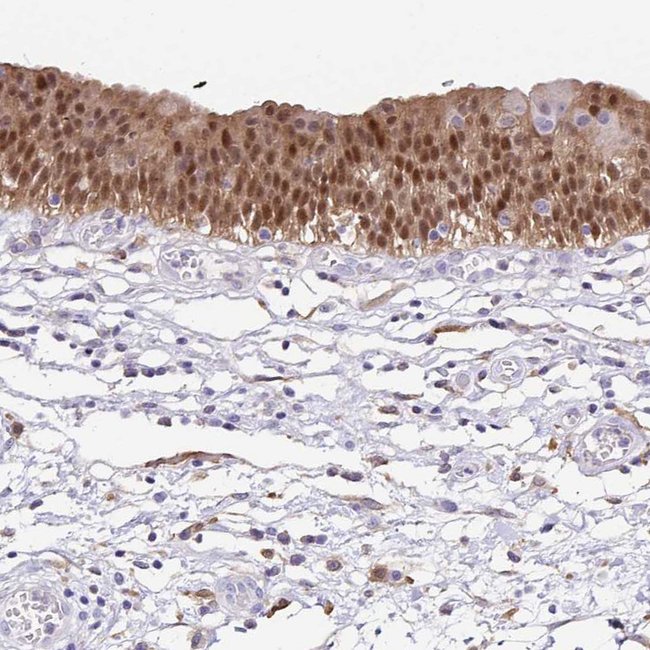
Invitrogen™ Annexin A10 Polyclonal Antibody

Rabbit Polyclonal Antibody
Supplier: Invitrogen™ PA552151
Description
Immunogen sequence: PPLYDAHELW HAMKGVGTDE NCLIEILASR TNGEIFQMRE AYCLQYSNNL QEDIYSETSG HFRDTLMNLV QGTREEGYTD PAMAAQDAMV LWEACQQKTG EHKTMLQMIL CNK Highest antigen sequence identity to the following orthologs: Mouse - 95%, Rat - 97%.
This gene encodes a member of the annexin family. Members of this calcium-dependent phospholipid-binding protein family play a role in the regulation of cellular growth and in signal transduction pathways. The function of this gene has not yet been determined.
Specifications
Annexin A10 | |
Polyclonal | |
Unconjugated | |
ANXA10 | |
annexin 14; annexin A10; Annexin-10; annexin-14; ANX14; Anxa10; RGD1560956 | |
Rabbit | |
Antigen affinity chromatography | |
RUO | |
11199 | |
Store at 4°C short term. For long term storage, store at -20°C, avoiding freeze/thaw cycles. | |
Liquid |
Immunohistochemistry (Paraffin), Western Blot | |
0.20 mg/mL | |
PBS with 40% glycerol and 0.02% sodium azide; pH 7.2 | |
Q9UJ72 | |
ANXA10 | |
Recombinant protein corresponding to Human Annexin A10. Recombinant protein control fragment (Product #RP-88820). | |
100 μL | |
Primary | |
Human | |
Antibody | |
IgG |
Product Content Correction
Your input is important to us. Please complete this form to provide feedback related to the content on this product.
Product Title
Spot an opportunity for improvement?Share a Content Correction