Promotional price valid on web orders only. Your contract pricing may differ. Interested in signing up for a dedicated account number?
Learn More
Learn More
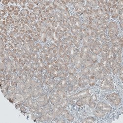
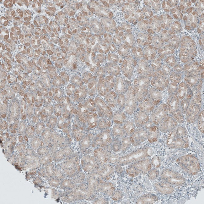
Invitrogen™ ANO7 Polyclonal Antibody

Rabbit Polyclonal Antibody
Supplier: Invitrogen™ PA557378
Description
Immunogen sequence: VRTGLYCRDQ AHAERWAMTS ETSSGSHCAR SRMLRRRAQE EDSTVLIDVS PPEAEKRGSY GSTAHASEPG GQQ Highest antigen sequence identity to the following orthologs: Mouse - 37%, Rat - 37%.
Has calcium-dependent phospholipid scramblase activity; scrambles phosphatidylserine, phosphatidylcholine and galactosylceramide. Does not exhibit calcium-activated chloride channel (CaCC) activity. May play a role in cell-cell interactions.
Specifications
| ANO7 | |
| Polyclonal | |
| Unconjugated | |
| ANO7 | |
| ANO7; anoctamin 7; anoctamin-7; Dresden transmembrane protein of the prostate; Dresden-transmembrane protein of the prostate; DTMPP; D-TMPP; IPCA5; IPCA-5; New gene expressed in prostate; NGEP; PCANAP5; PCANAP5L; prostate cancer associated protein 5; Prostate cancer-associated protein 5; TMEM16G; Transmembrane protein 16G | |
| Rabbit | |
| Antigen Affinity Chromatography | |
| RUO | |
| 50636 | |
| Store at 4°C short term. For long term storage, store at -20°C, avoiding freeze/thaw cycles. | |
| Liquid |
| Immunohistochemistry (Paraffin) | |
| 0.2 mg/mL | |
| PBS with 40% glycerol and 0.02% sodium azide; pH 7.2 | |
| Q6IWH7 | |
| ANO7 | |
| Recombinant protein corresponding to Human ANO7. Recombinant protein control fragment (Product #RP-96135). | |
| 100 μL | |
| Primary | |
| Human | |
| Antibody | |
| IgG |
Product Content Correction
Your input is important to us. Please complete this form to provide feedback related to the content on this product.
Product Title
Spot an opportunity for improvement?Share a Content Correction