Promotional price valid on web orders only. Your contract pricing may differ. Interested in signing up for a dedicated account number?
Learn More
Learn More
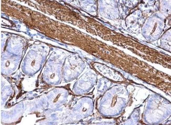
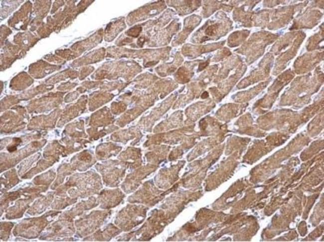
Actin Alpha 1 Cardiac Muscle Antibody, Novus Biologicals™

Rabbit Polyclonal Antibody
Supplier: Novus Biologicals NBP133759
Description
Actin Alpha 1 Cardiac Muscle Polyclonal specifically detects Actin Alpha 1 Cardiac Muscle in Mouse samples. It is validated for Western Blot, Immunohistochemistry, Immunohistochemistry-Paraffin.Specifications
Actin Alpha 1 Cardiac Muscle | |
Polyclonal | |
Unconjugated | |
0.1M Tris (pH 7.0), 0.1M Glycine and 10% Glycerol with 0.01% Thimerosal | |
ACTC, actin, alpha, cardiac muscle 1, ASD5, CMD1R, CMH11, LVNC4 | |
Rabbit | |
42 kDa | |
0.1 mL | |
Angiogenesis, Cancer, Cell Biology, Cellular Markers, Cytoskeleton Markers, Stem Cell Markers | |
70 | |
Mouse | |
IgG |
Western Blot, Immunohistochemistry, Immunohistochemistry (Paraffin) | |
0.25mg/mL | |
Western Blot 1:500-1:3000, Immunohistochemistry 1:100-1:1000, Immunohistochemistry-Paraffin 1:100-1:1000 | |
P68033 | |
ACTC1 | |
Recombinant protein encompassing a sequence within the center region of mouse alpha Cardiac Muscle Actin. The exact sequence is proprietary. | |
Affinity Purified | |
RUO | |
Primary | |
Reacts with Mouse. Predicted cross-reactivity based on sequence identity: Xenopus laevis (100%) and Xenopus tropicalis (100%). | |
Aliquot and store at -20C or -80C. Avoid freeze-thaw cycles. |
Product Content Correction
Your input is important to us. Please complete this form to provide feedback related to the content on this product.
Product Title
For Research Use Only
Spot an opportunity for improvement?Share a Content Correction